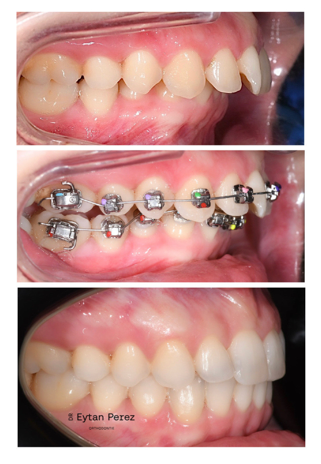
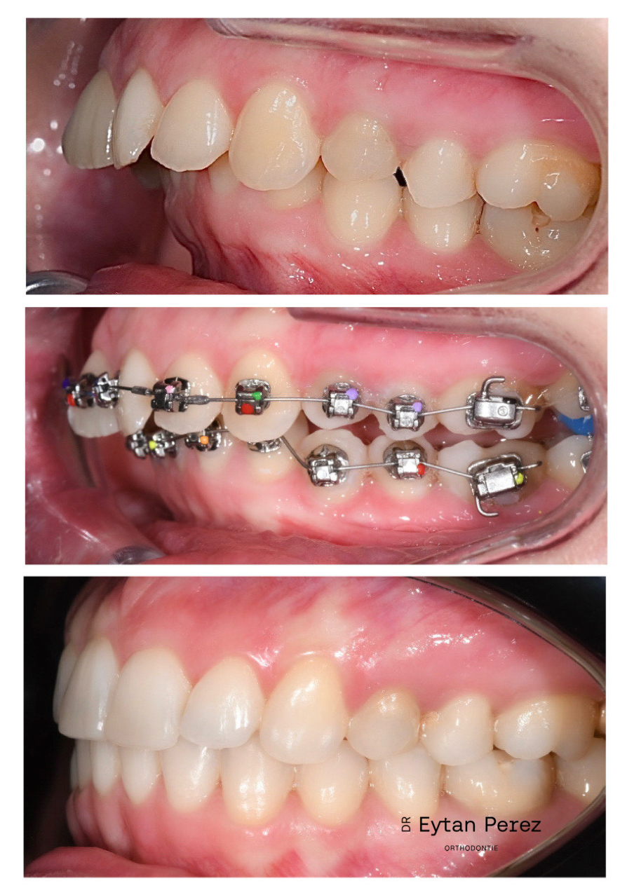
Traitement orthodontico-chirurgical
L’orthodontie permet d’aligner les dents et de corriger les décalages dentaires.
Cependant, lorsque nous sommes en présence de décalages osseux importants et que le potentiel de croissance est terminé ou insuffisant, nous pouvons être amené à proposer des traitements dits ortho-chirurgicaux.
Traitement orthodontico-chirurgical
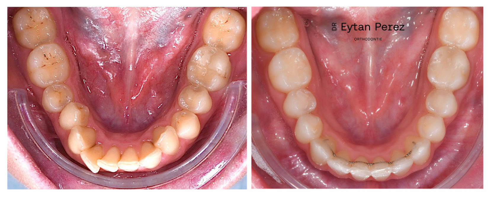
La chirurgie des mâchoires, également appelée chirurgie orthognathique, permet de corriger ces décalages squelettiques. L’objectif principal est de rétablir des fonctions vitales essentielles, notamment la ventilation.
En effet, la ventilation s’améliore grâce à une augmentation du carrefour aéro-naso-pharyngé, ce qui perméabilise considérablement les voies respiratoires. Ces interventions visent également à réduire le risque de syndrome d’apnées du sommeil, dont les conséquences délétères sur le cerveau et le cœur sont nombreuses et bien connues.
Traitement orthodontico-chirurgical
Le sommeil est souvent grandement amélioré. La mastication se rétablit également grâce à une meilleure répartition des contacts masticatoires, réduisant ainsi l’usure dentaire, généralement présente dans une occlusion dite traumatique. Si une indication chirurgicale est posée, nous organiserons un rendez-vous avec le chirurgien pour réaliser un diagnostic encore plus précis.








