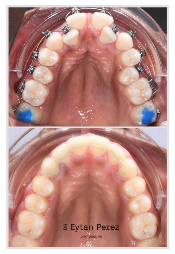
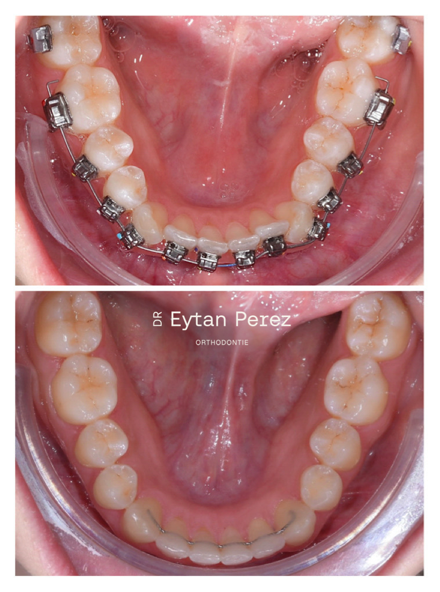
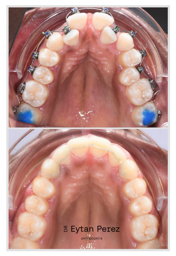
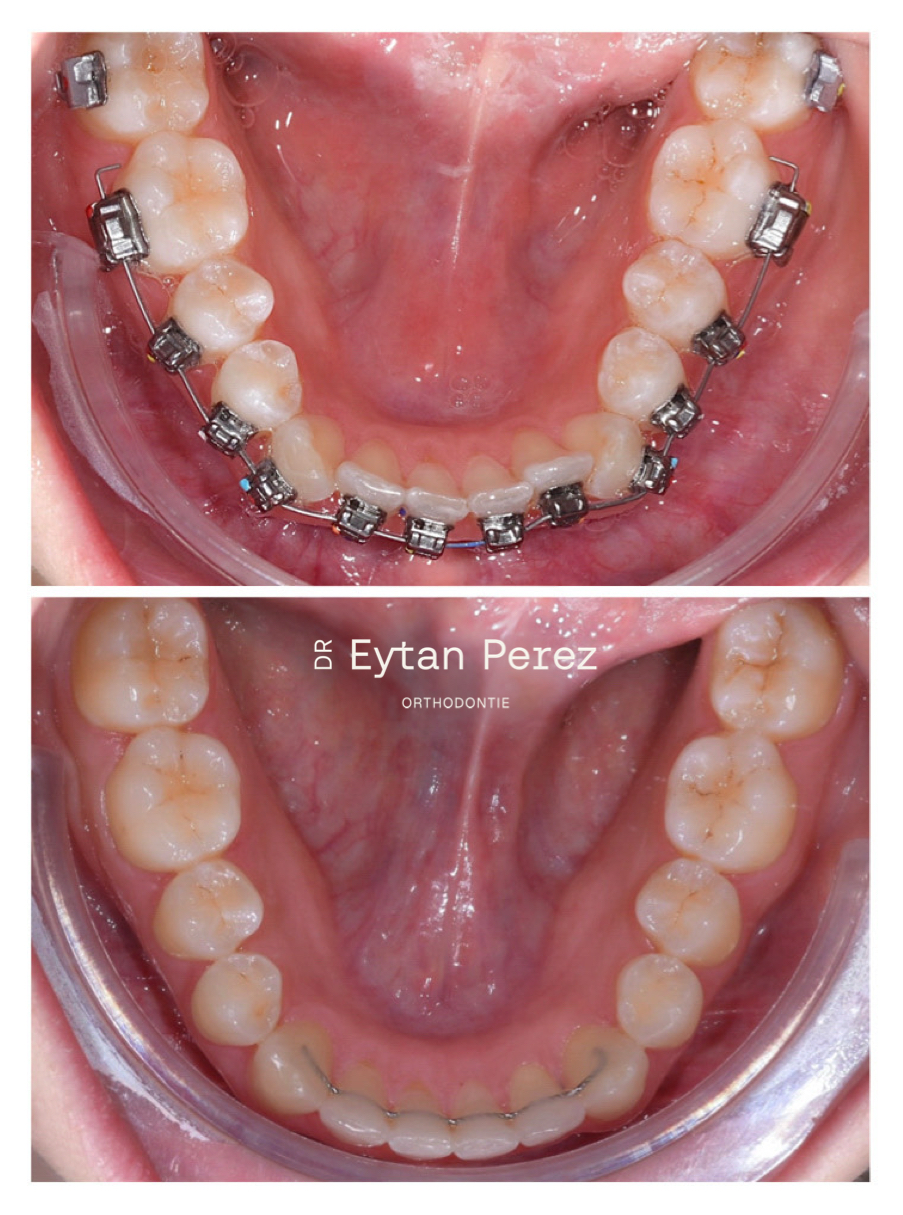
Technique vestibulaire autoligaturante
ll s’agit d’un système de bracket dernière génération comprenant des attaches dites auto-ligaturantes, c’est à dire sans ligatures élastomériques (élastiques) – les attaches possèdent un système de verrou intégré autour des brackets, diminuant ainsi considérablement la force frictionnelle.
Technique vestibulaire autoligaturante
Ce système comprend également des arcs dernière technologie incluant du Cuivre et du Nickel-titane permettant de prolonger la durée d’action des arcs et donc de diminuer la fréquence des rendez-vous d’activations.
Technique vestibulaire autoligaturante
La combinaison arc/bracket réduit les frictions, accélérant ainsi les temps de traitement. Ce système optimise le glissement dentaire, appliquant des forces plus légères et diminuant les gênes et douleurs. Les forces légères permettent un déplacement plus rapide et efficace des dents.
Technique vestibulaire autoligaturante
La combinaison arc/bracket réduit les frictions, accélérant ainsi les temps de traitement. Ce système optimise le glissement dentaire, appliquant des forces plus légères et diminuant les gênes et douleurs. Les forces légères permettent un déplacement plus rapide et efficace des dents.





















