Cabinet d'Orthodontie Dr Eytan Perez – Nice

Technique par gouttières de correction

Il s’agit d’une technique très discrète qui consiste à porter une succession de gouttières thermoformées sur mesure à partir d’un plan de traitement virtuel en 3D.

Chaque gouttière doit être portée entre 20 à 22h/24 et changée toutes les 1 à 2 semaines.

Technique par gouttières de correction

Cette technique, bien que très convoitée par les patients, peut présenter des limites biomécaniques pour atteindre certains mouvements dentaires (tels que l’ingression, l’égression, le torque, les mouvements de translation importants).

Avant de commencer un traitement par gouttière de correction, nous vérifions systématiquement au préalable la prédictibilité de celui-ci afin que l’efficacité de votre traitement reste toujours notre priorité.

Technique par gouttières de correction

Auquel cas, nous pourrons toujours nous réorienter vers d’autres techniques plus efficaces à savoir des appareillages fixes ou même des techniques hybrides ou mixte en alliant appareillage fixe et amovible.

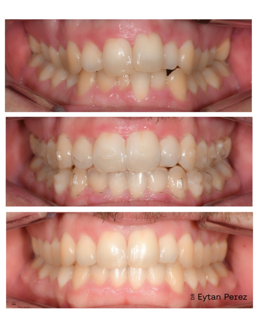
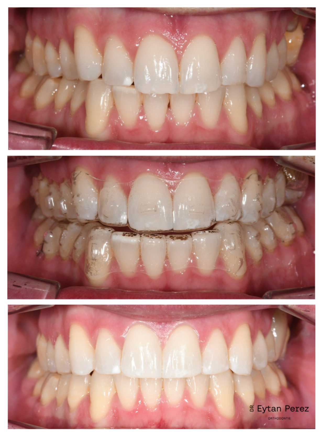
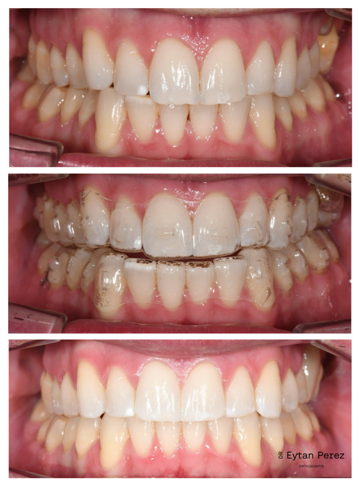
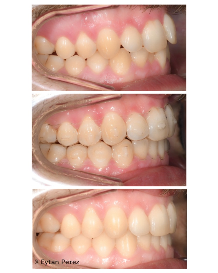
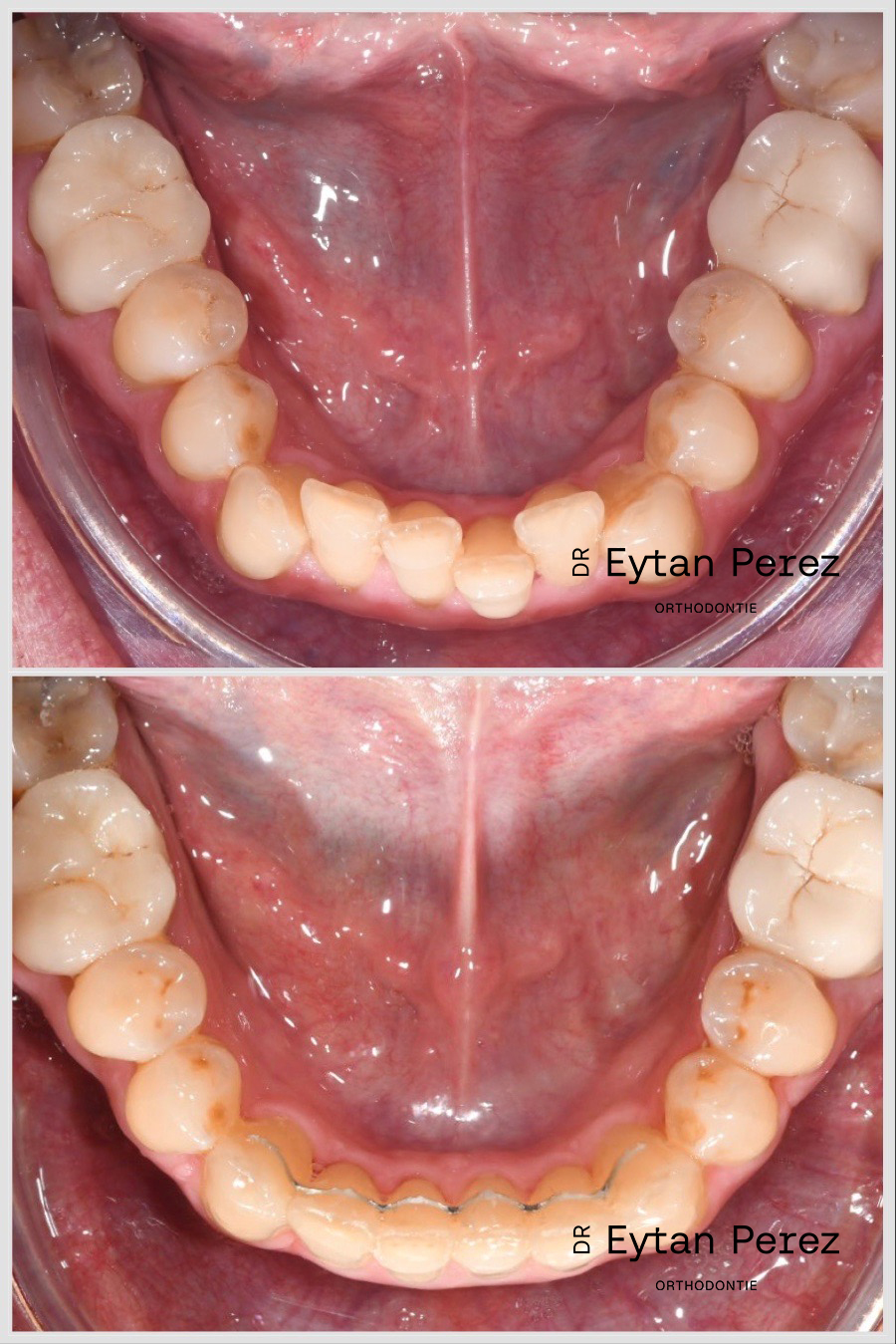
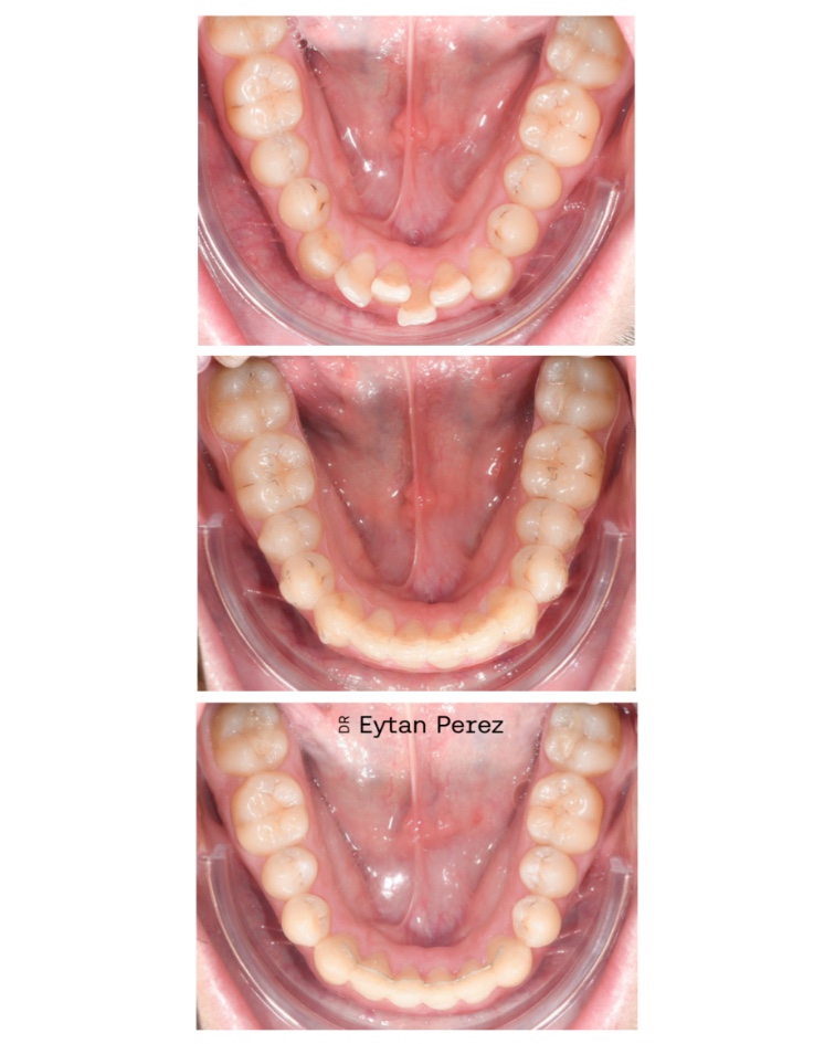
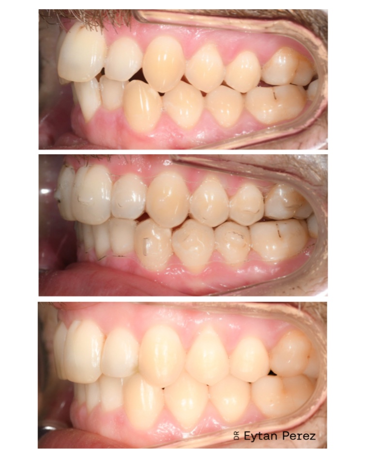
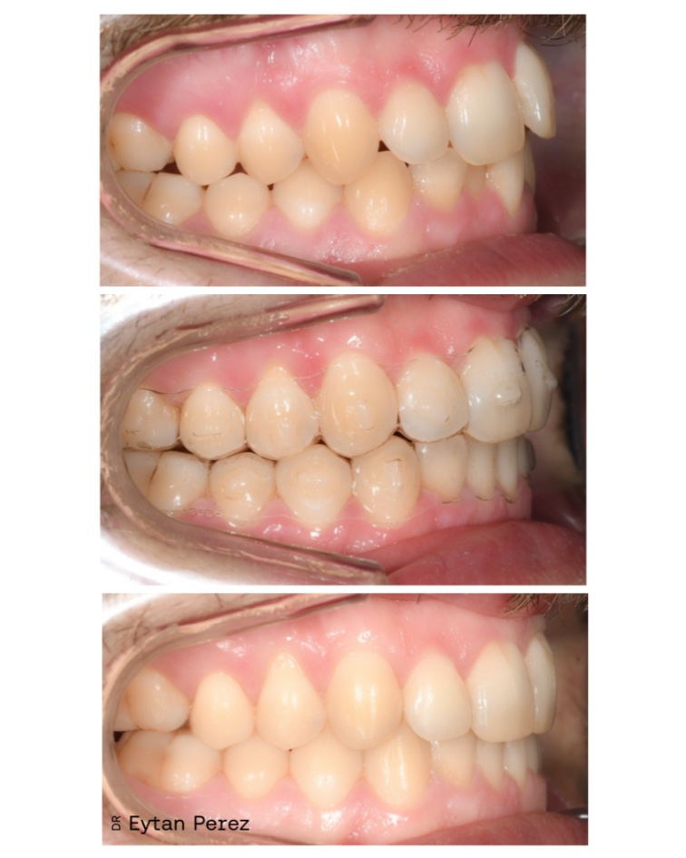
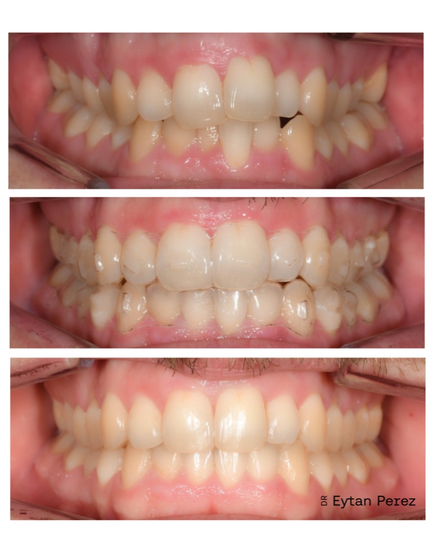
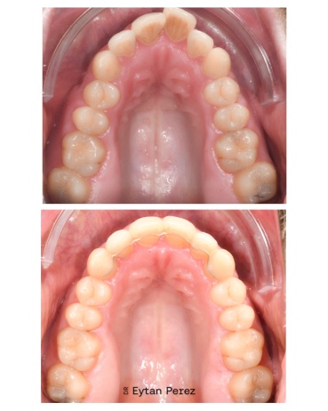
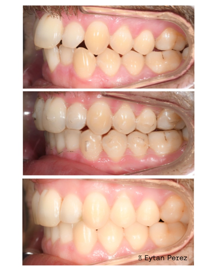
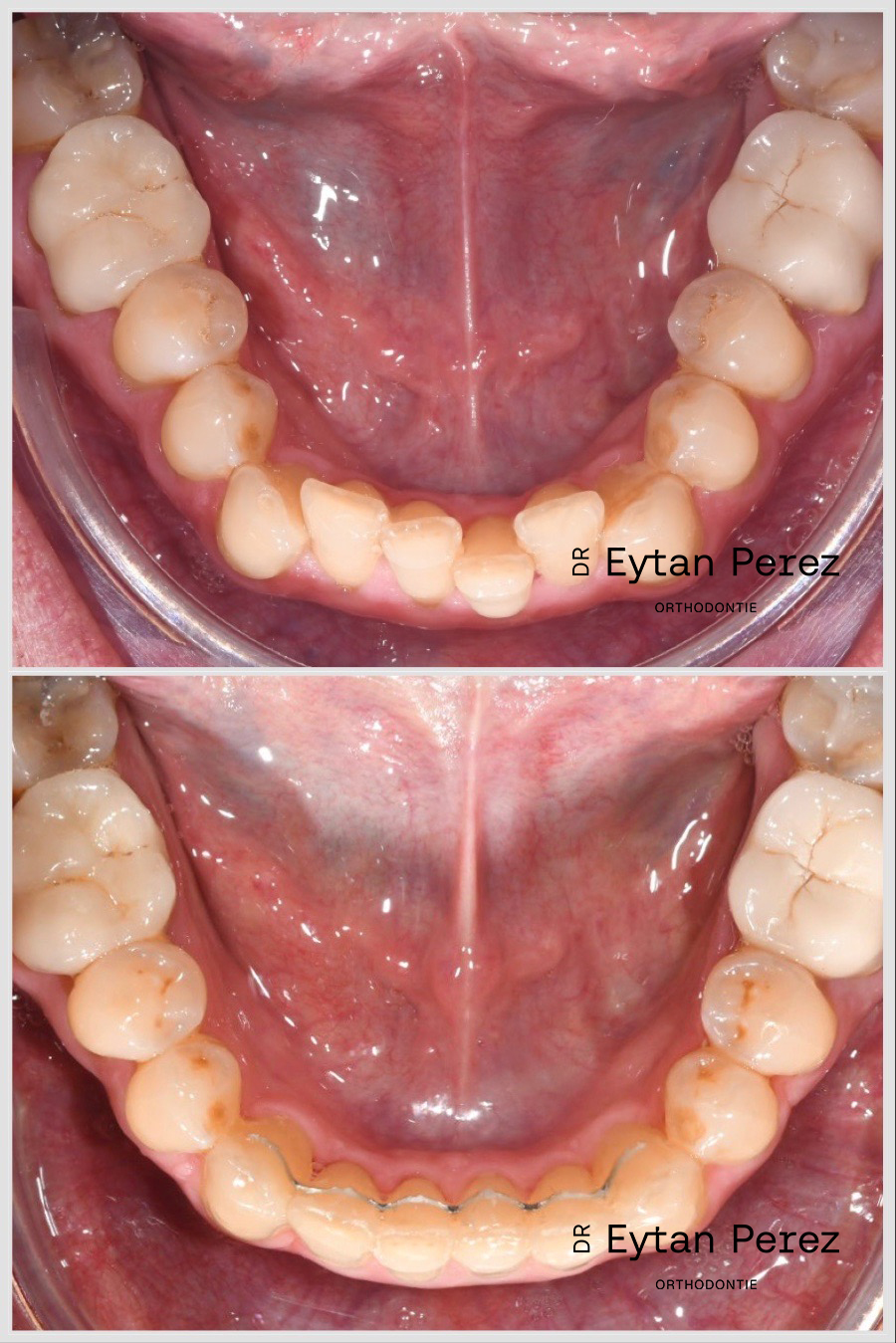
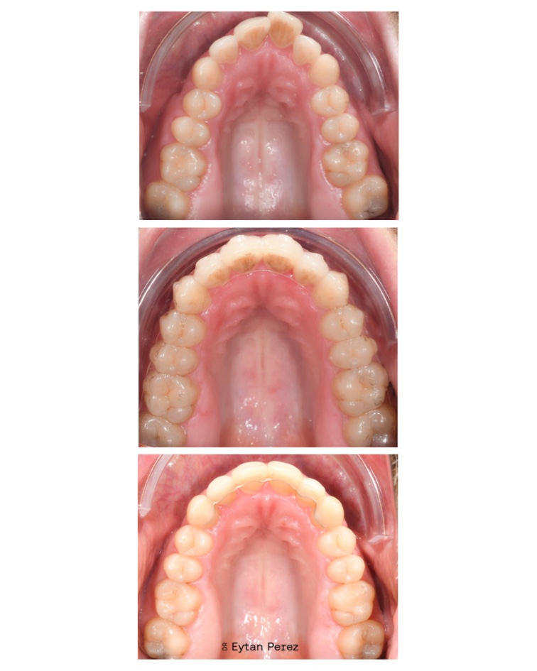
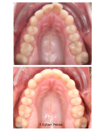
Nos résultats Avant-après