Cabinet d'Orthodontie Dr Eytan Perez – Nice

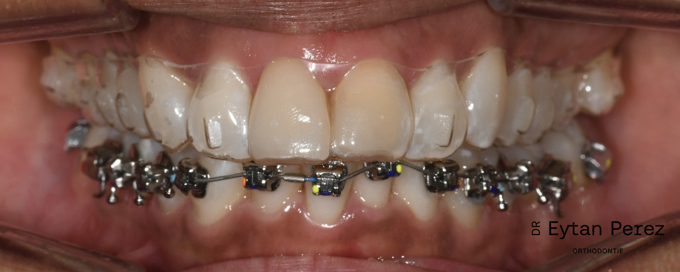
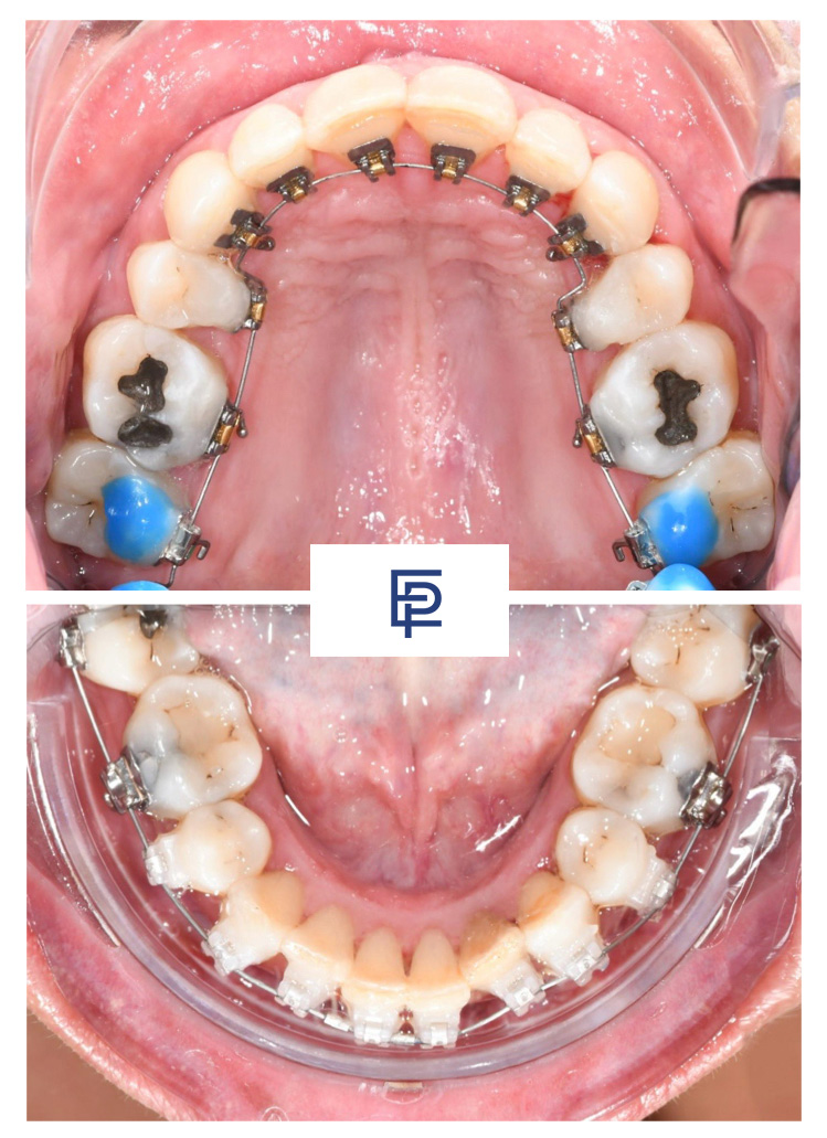
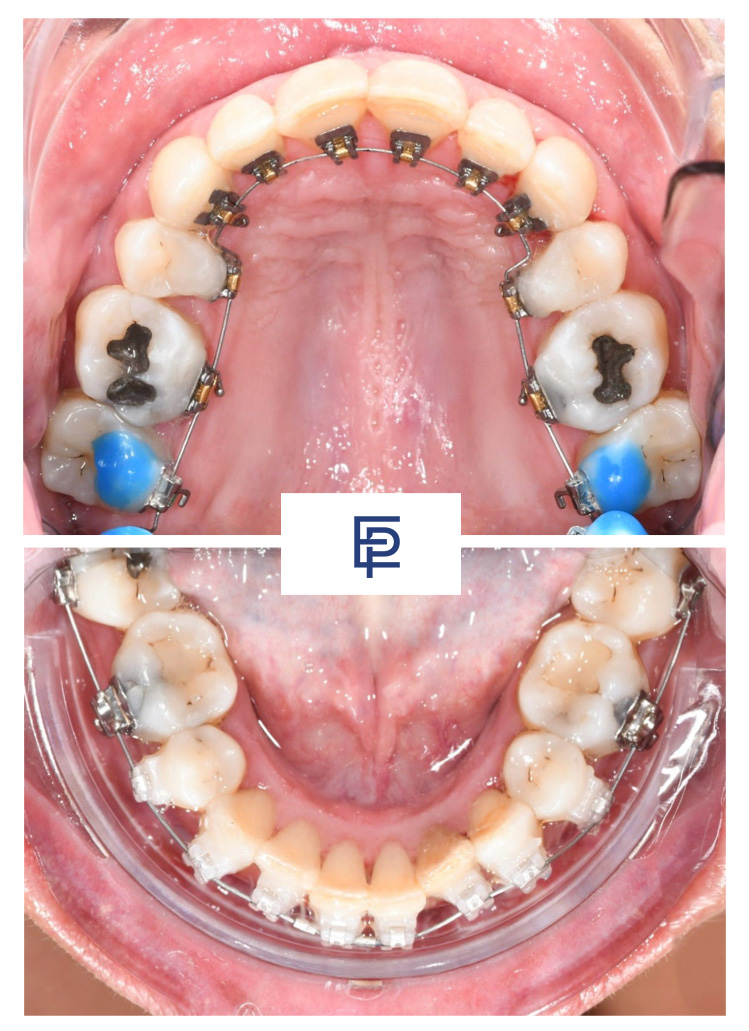
Technique mixte

Cette modalité de traitement permet une parfaite combinaison entre l’efficacité et l’invisibilité. En effet il est possible de mixer les techniques. Voici trois options de combinaison :

  • Appareillage fixe lingual supérieur et externe inférieur céramique
  • Appareillage fixe lingual supérieur et gouttière inférieur
  • Gouttière supérieure et appareillage externe inférieur (métal ou céramique)

 

NB : À noter que chez la plupart des personnes, l’appareillage inférieur ne se voit que très peu car il n’est pas exposé dans la ligne du sourire.

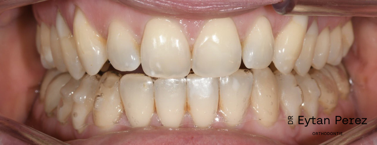
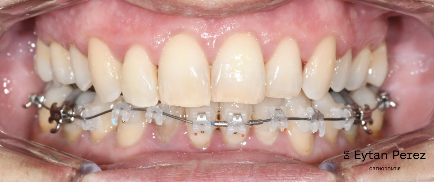
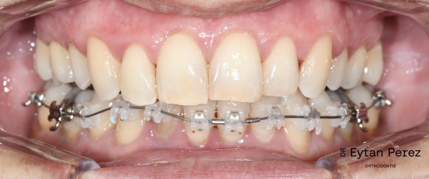
Nos résultats Avant-après