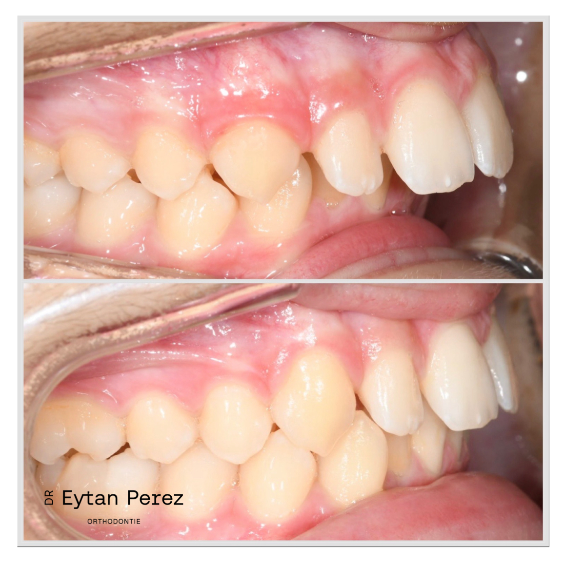
Orthopédie dento-faciale
Les traitements orthopédiques regroupent l’ensemble des traitements destinés aux jeunes enfants en croissance, visant à corriger la position et la forme des mâchoires lorsque celles-ci sont préjudiciables.
Il est recommandé d’effectuer une première visite vers l’âge de 7 ans afin de corriger facilement les problèmes de mâchoires.
Orthopédie dento-faciale
L’appareil orthopédique le plus utilisé par les orthodontistes est le disjoncteur. Celui-ci permet de rétablir la largeur du palais lorsqu’il est trop étroit, tout en améliorant la ventilation nasale si celle-ci est mixte ou buccale.
En élargissant le palais, les fosses nasales s’élargissent également, car elles sont adjacentes au maxillaire. La ventilation buccale peut également avoir d’autres étiologies que nous examinerons lors de la première consultation.
Orthopédie dento-faciale
Après un certain âge, le potentiel de croissance diminue et les problèmes deviennent plus complexes à corriger, nécessitant parfois des interventions chirurgicales en fin de croissance, ce que l’on appelle un traitement orthodontico-chirurgical.
Quand consulter ?
Il est recommandé par divers organismes internationaux, dont la FFO (Fédération Française d’Orthodontie), de consulter aux alentours de 6-7 ans, même si l’enfant ne présente aucune malocclusion apparente (www.sfodf.org/avada_portfolio/quand-consulter).













