Cabinet d'Orthodontie Dr Eytan Perez – Nice

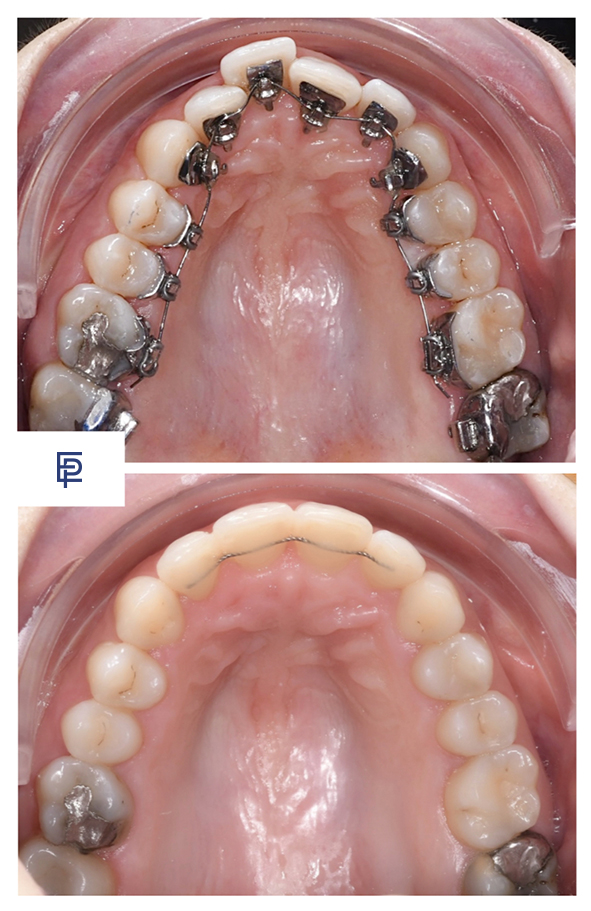
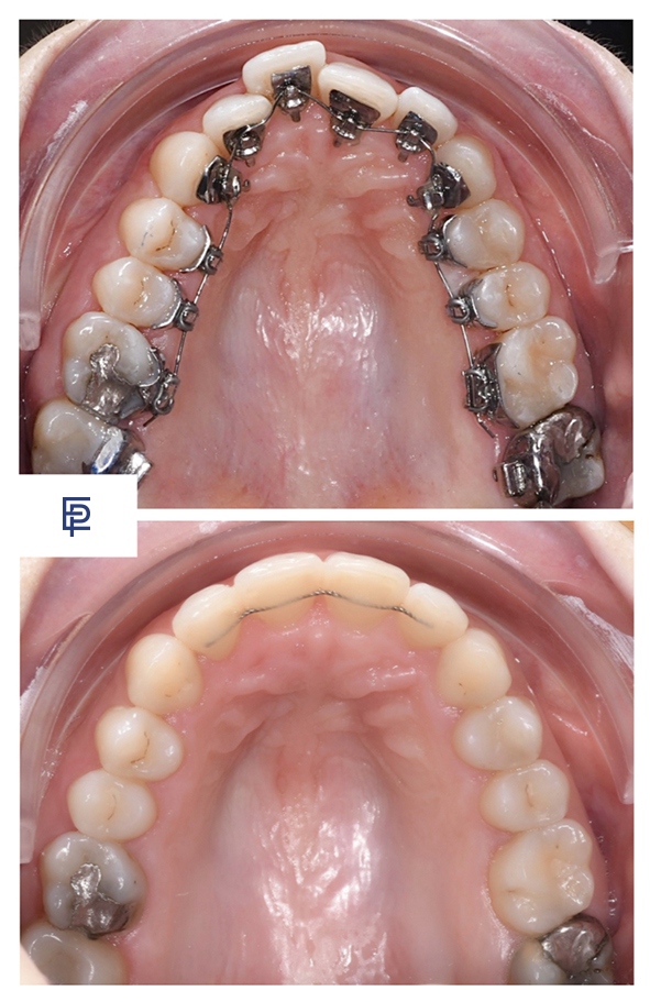
Technique Linguale autoligaturante

L’orthodontie linguale est une technique où les attaches sont collées sur les faces « linguales » ou internes des dents.

Il s’agit à l’heure actuelle de la seule technique totalement « invisible ».

Cette technique demande une grande maîtrise des protocoles et aboutit au même résultat dans le même temps qu’un traitement classique quand la méthode est bien maîtrisée.

Technique Linguale autoligaturante

Les nouvelles techniques linguales autoligaturantes permettent de diminuer encore plus la friction généré par l’appareil pour ainsi maximiser l’efficience du traitement avec davantage de glissement.

Nos résultats Avant-après