Cabinet d'Orthodontie Dr Eytan Perez – Nice

Nos résultats Avant-après

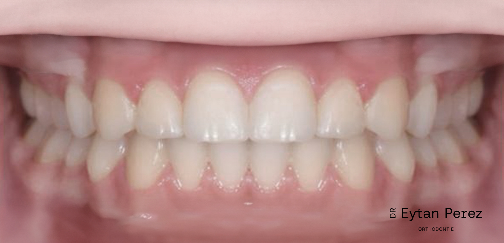
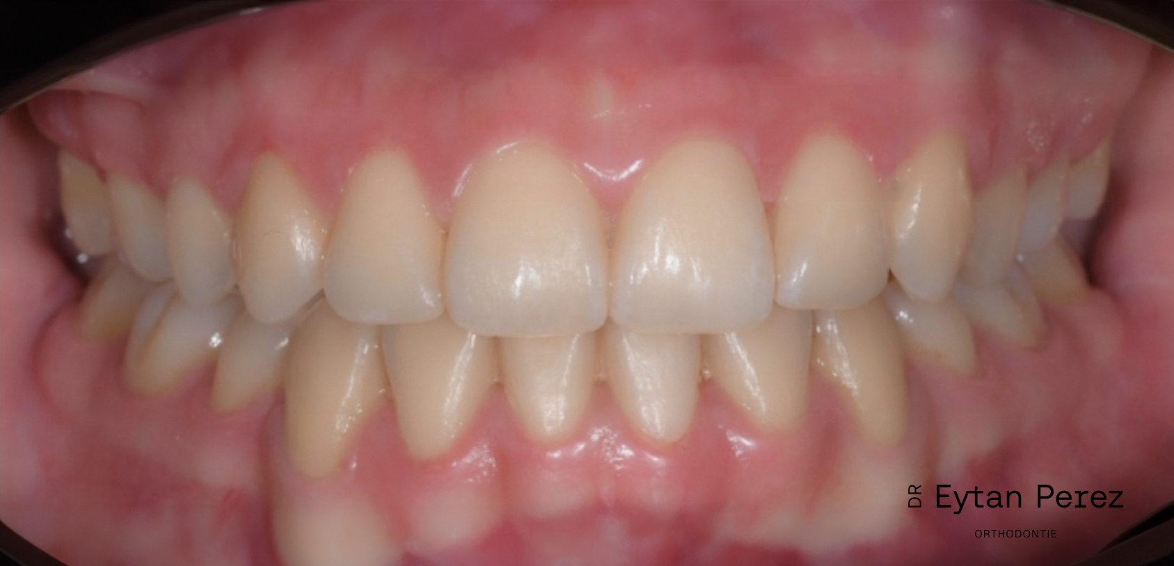
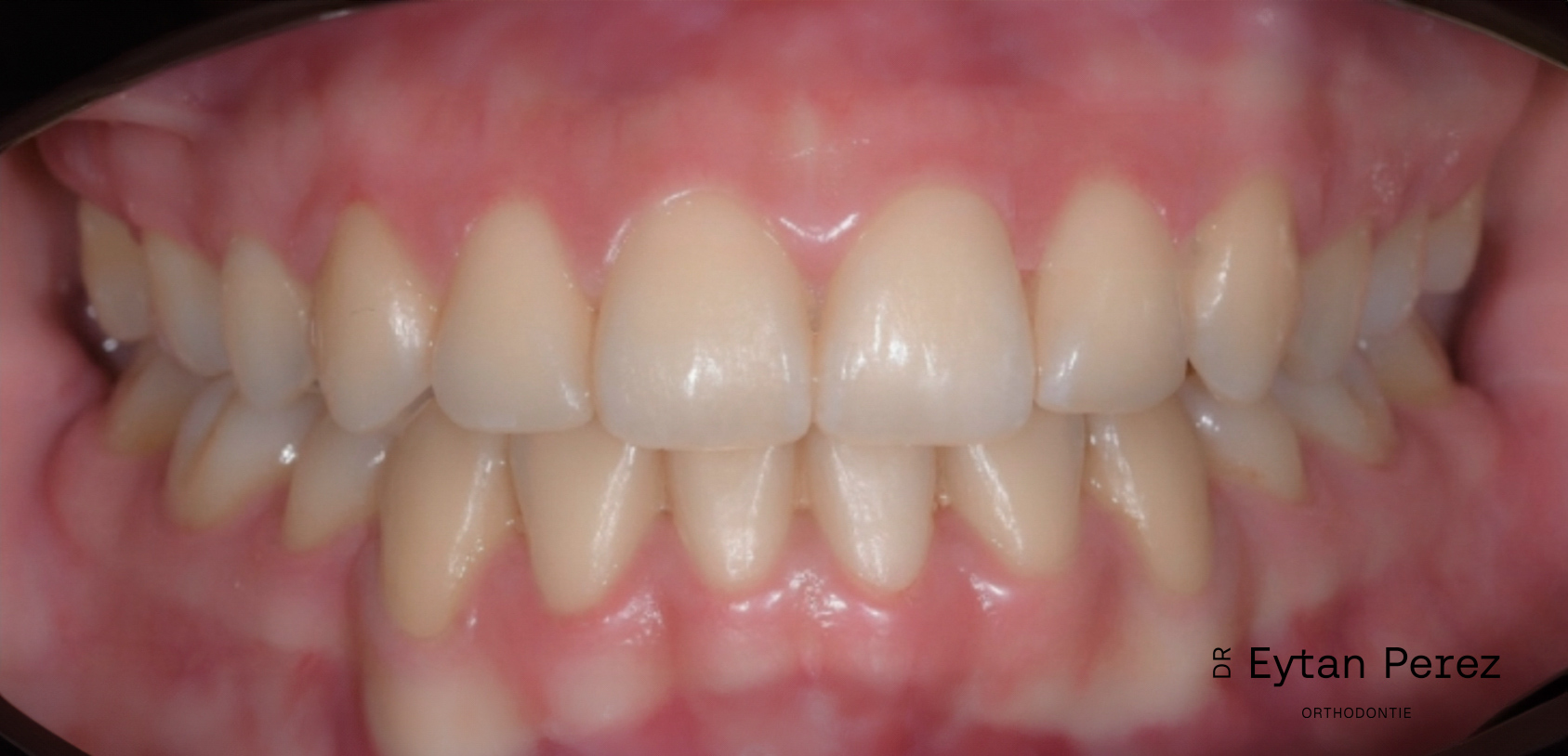
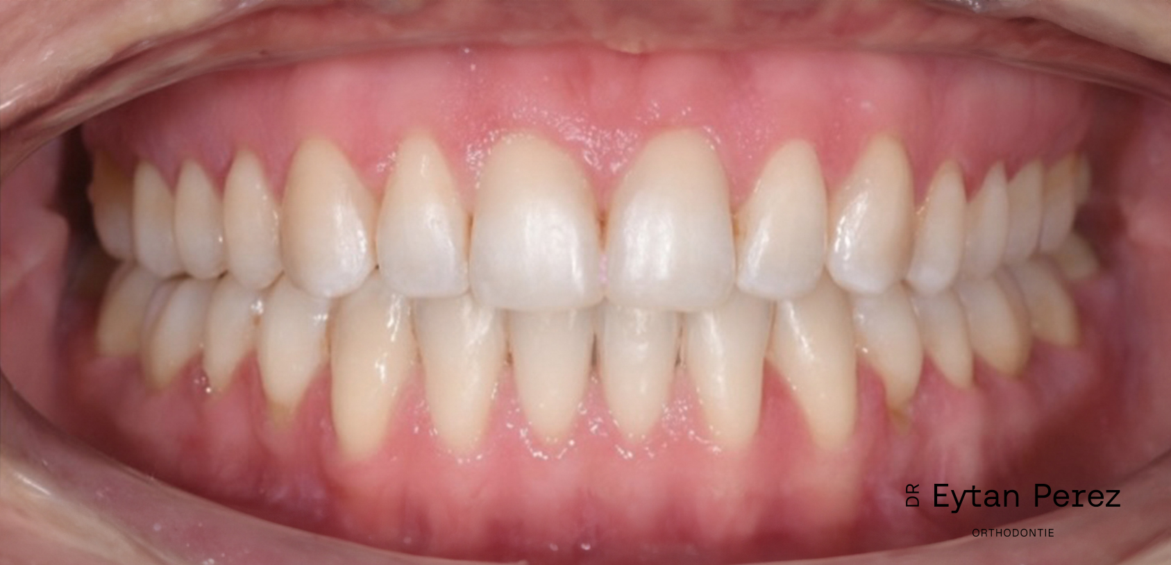
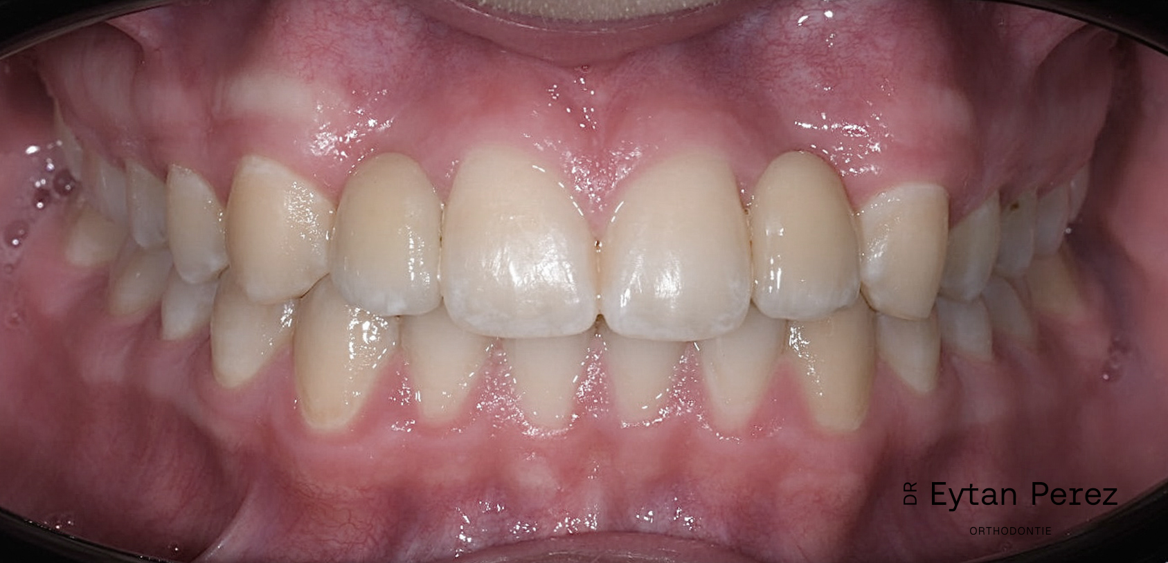
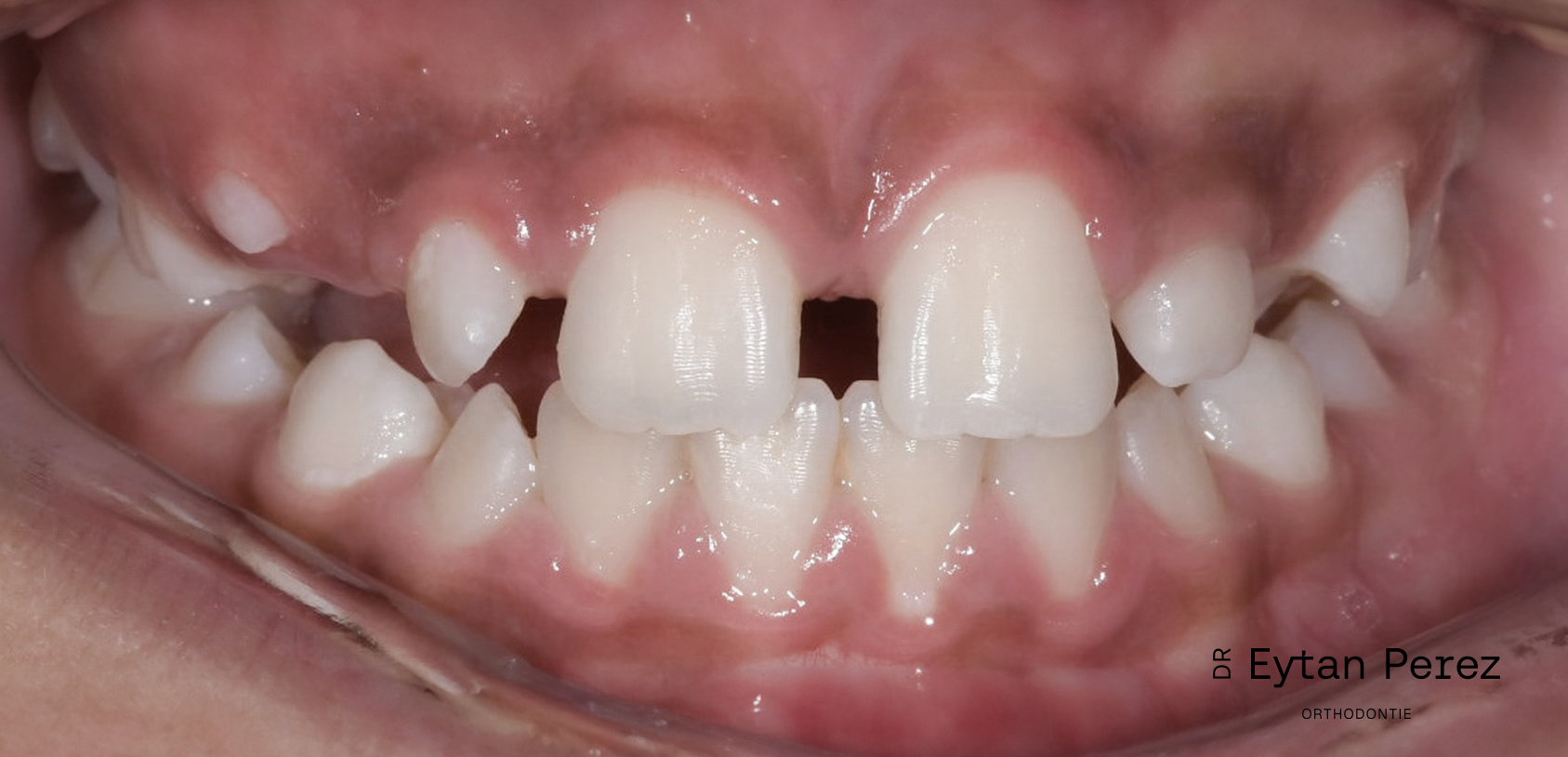
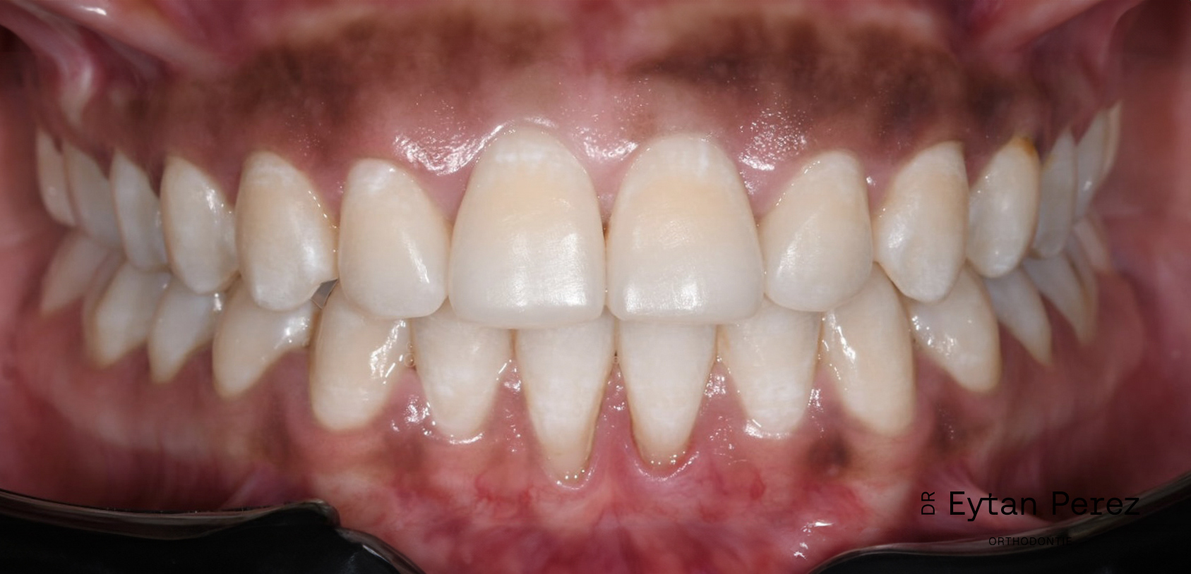
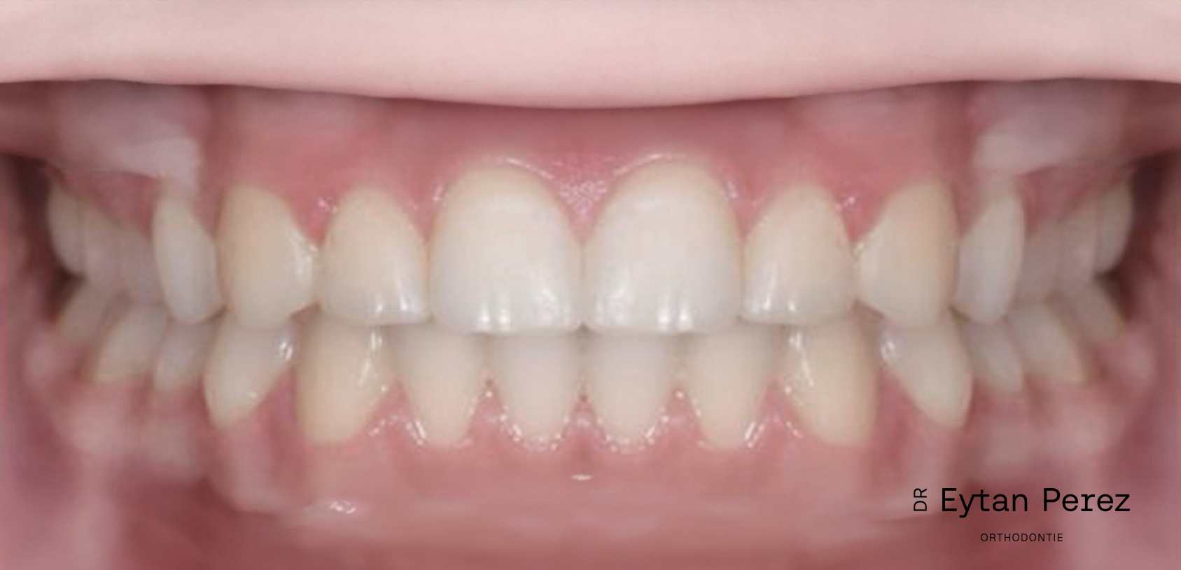
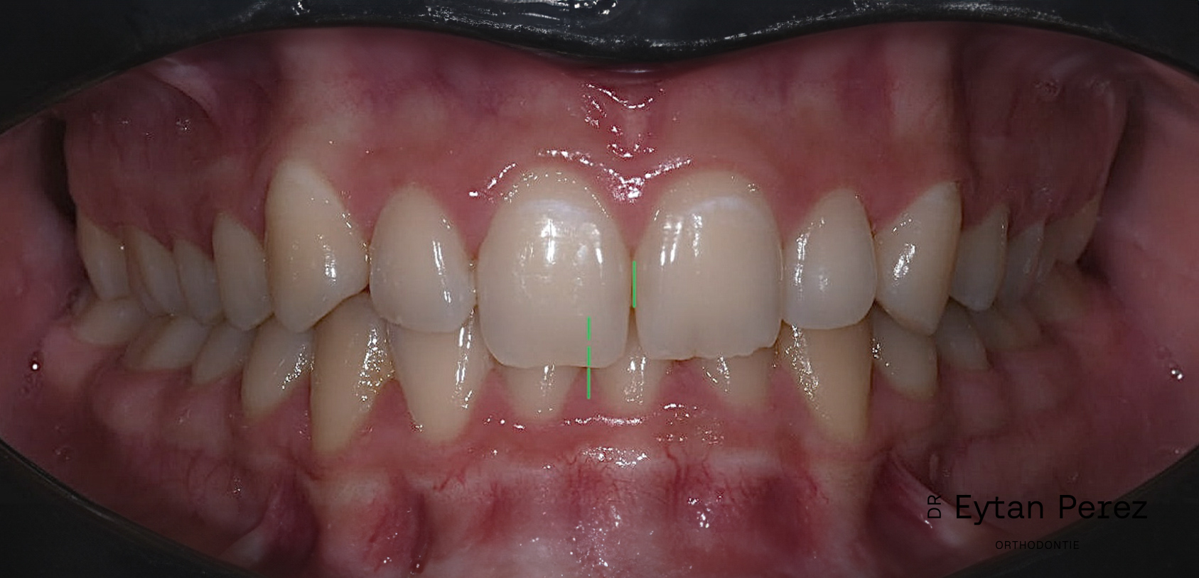
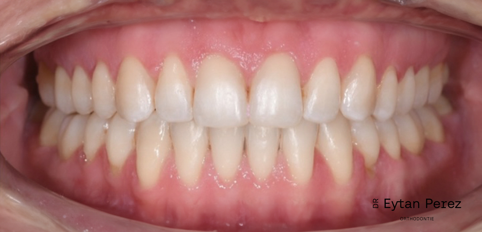
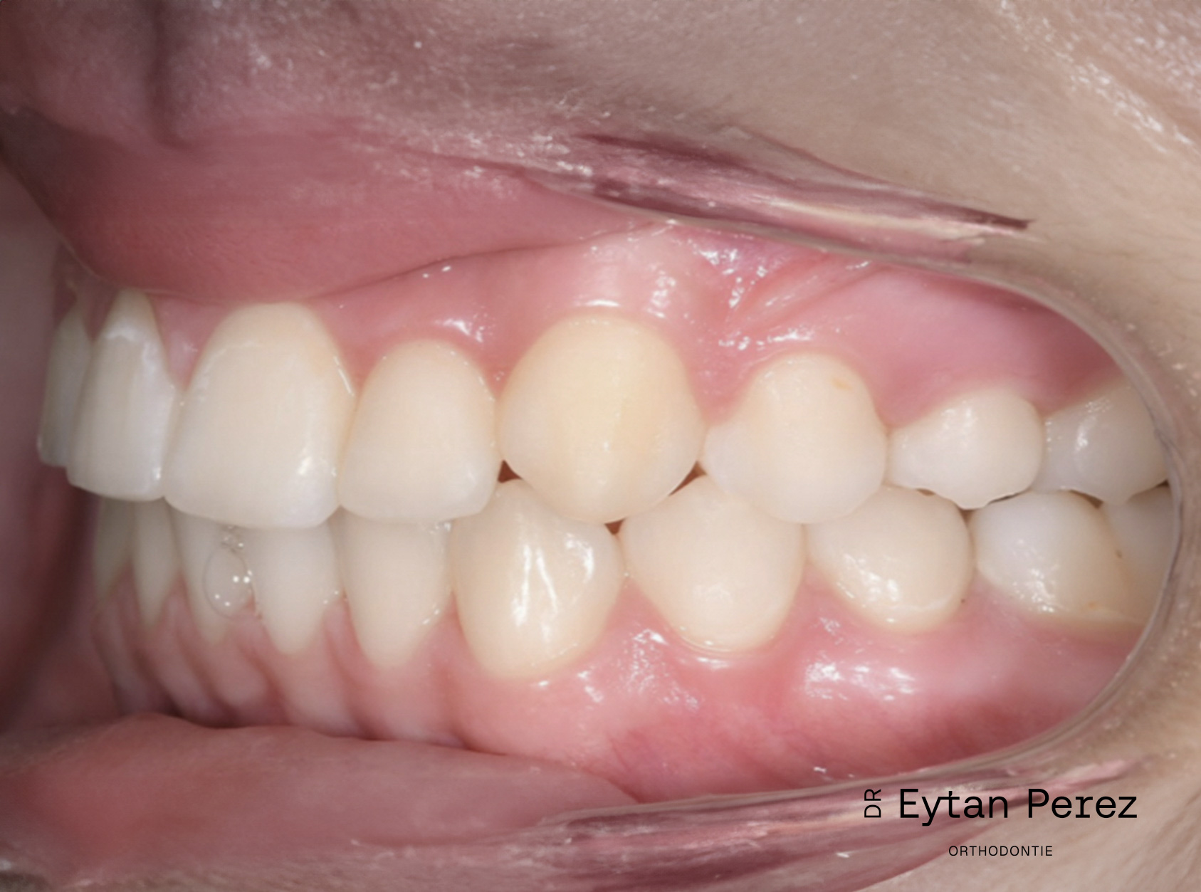
cas-1-face-avantcas-1-face-apres
Appareillage fixe vestibulaire autoligaturant métal

Technique : Autoligaturant vestibulaire
Précisions : Encombrements sévères – canines ectopiques – avec extractions – distalisation
Temps : 16 mois

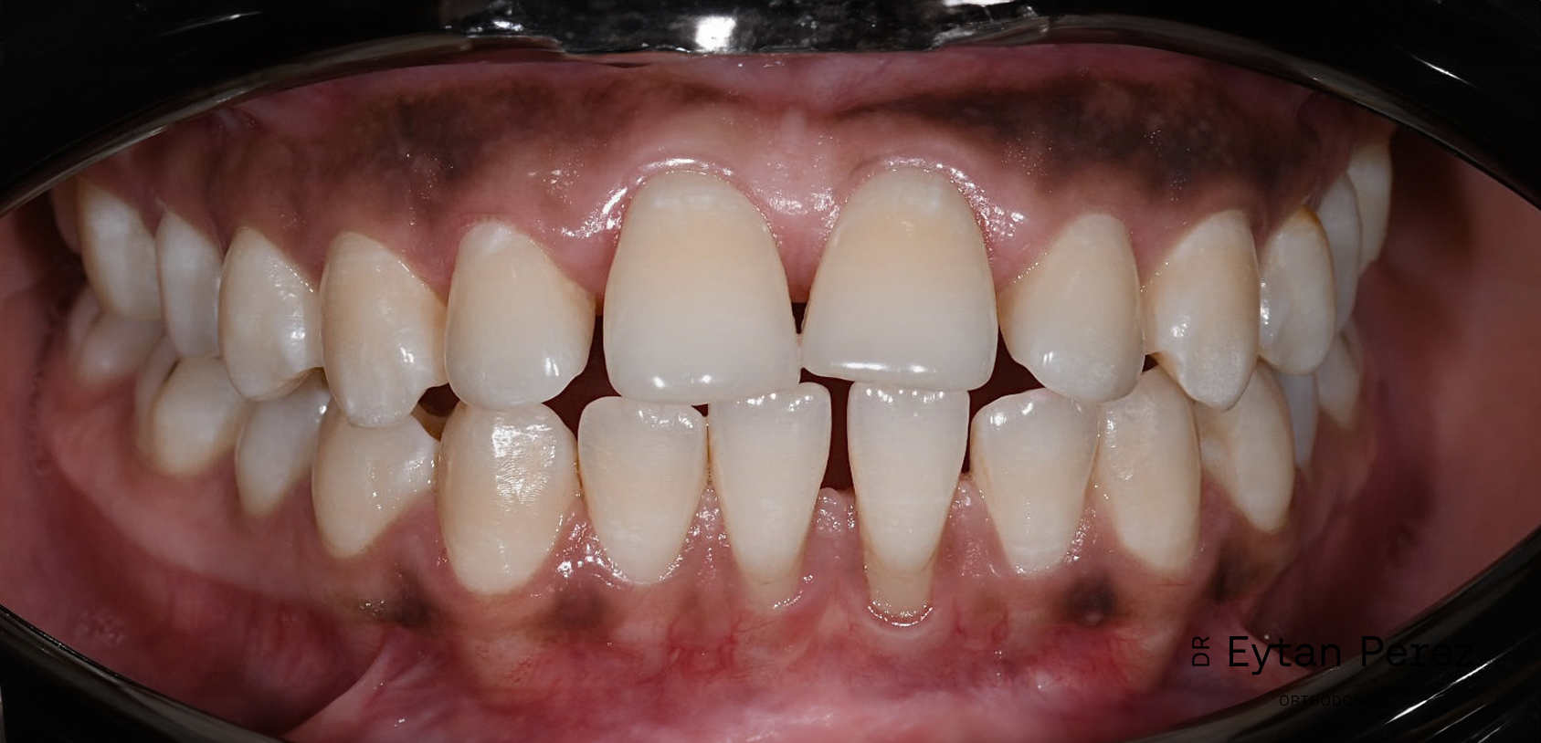
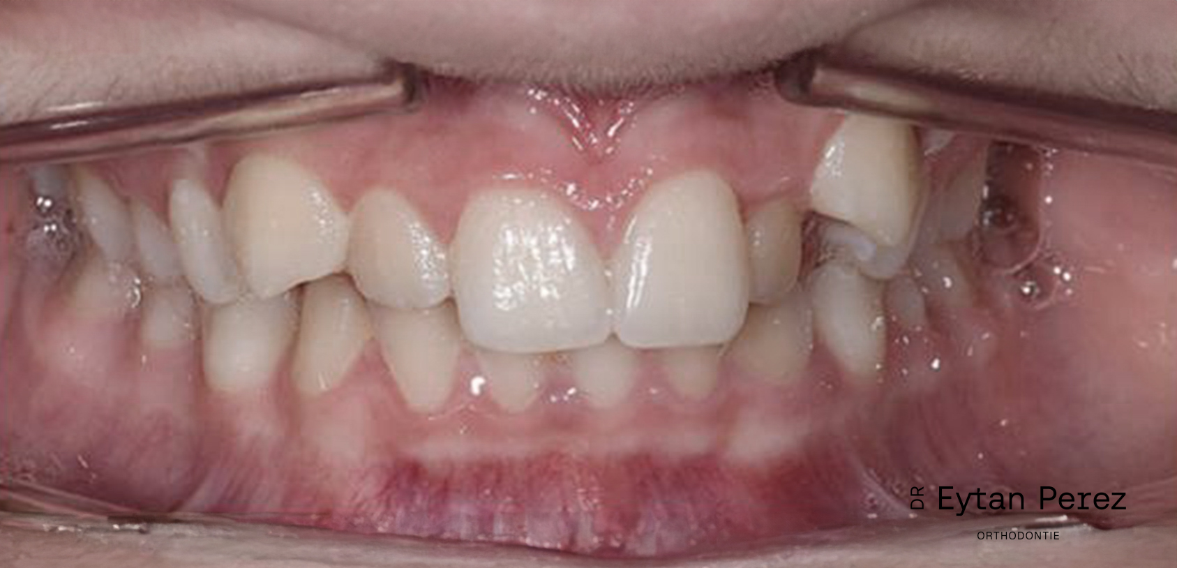
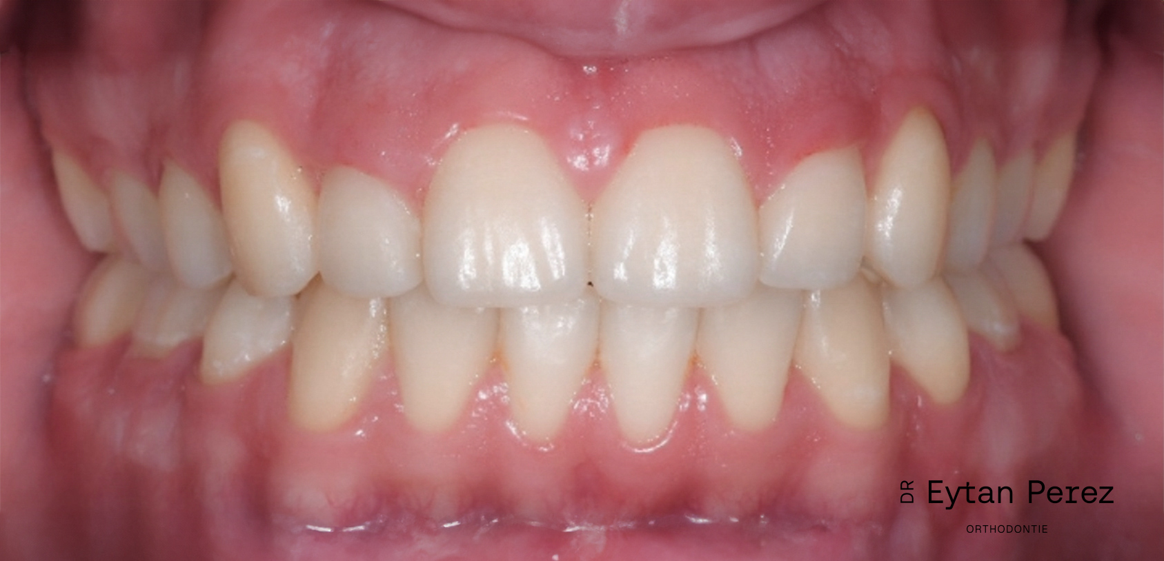
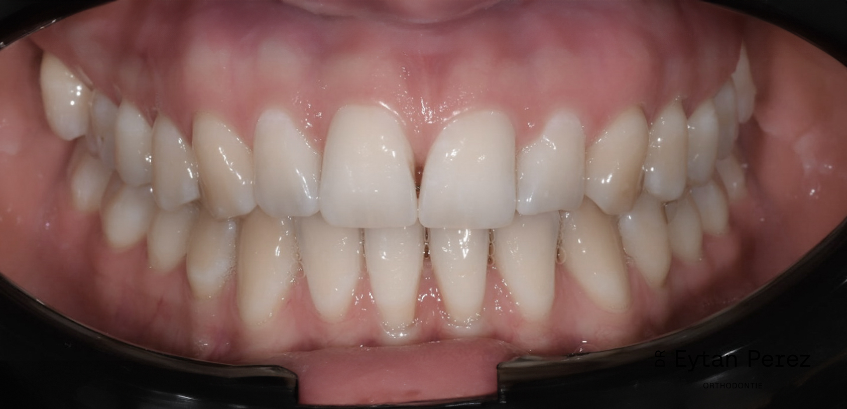
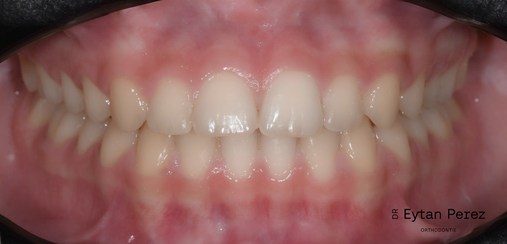
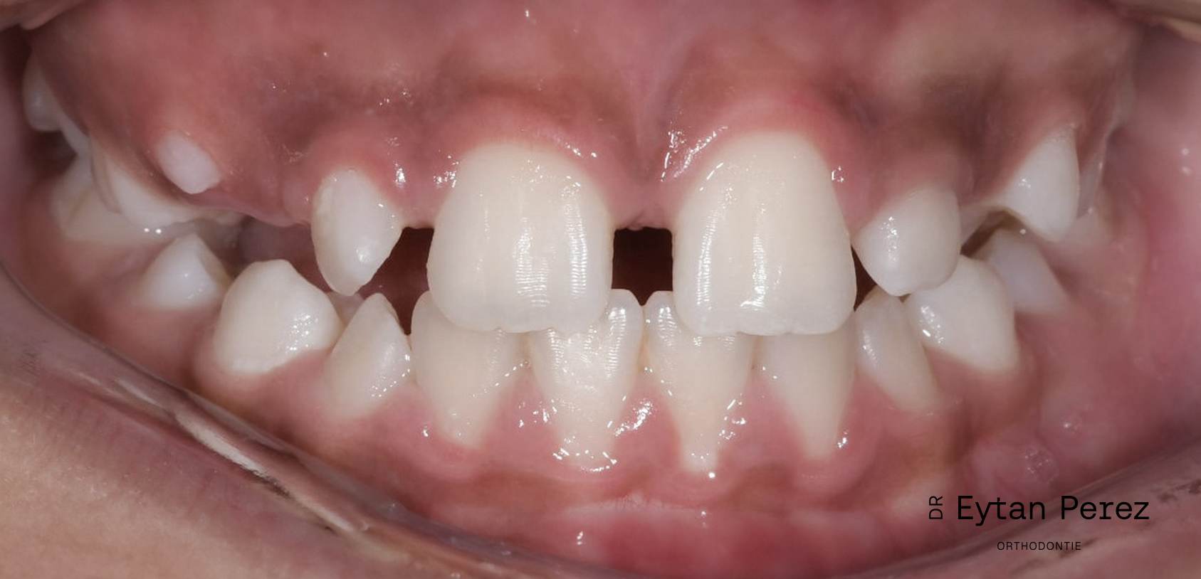
cas-2-face-avantcas-2-face-apres
Technique autoligaturante vestibulaire métal

Technique : Autoligaturant vestibulaire
Précisions : Encombrements sévères – classe 3 squelettique – sans extractions – sans chirurgie – distalisation avec recul maxillaire
Temps : 20 mois

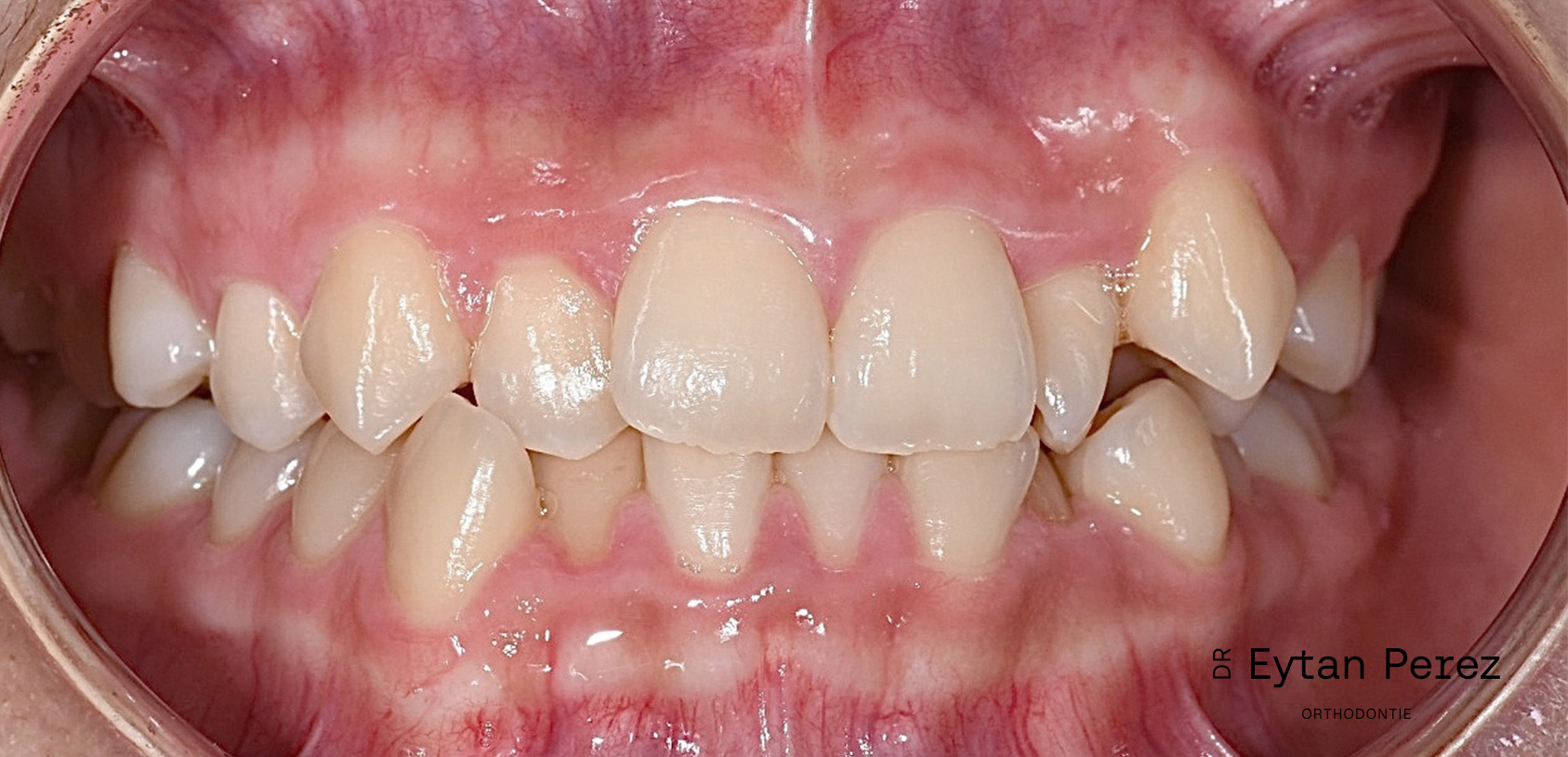
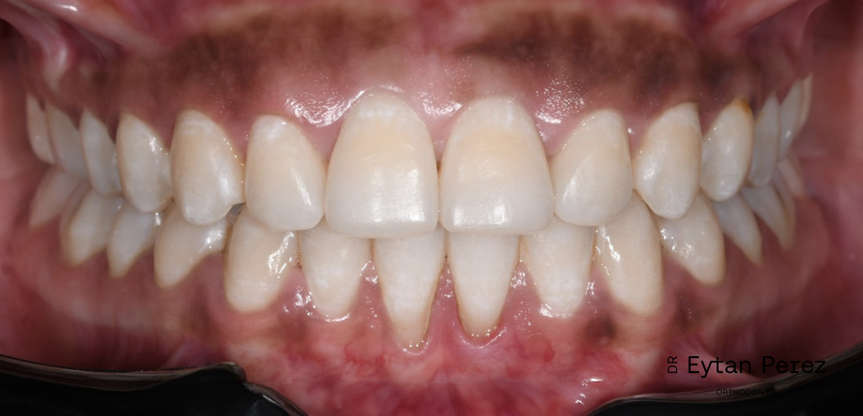
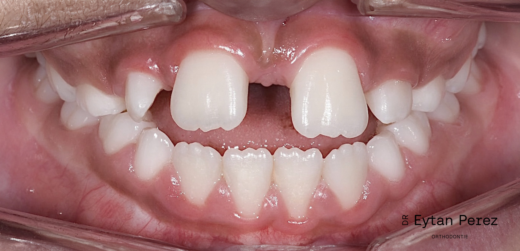
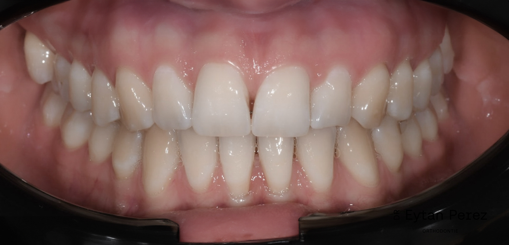
cas-3-face-avantcas-3-face-apres
Technique autoligaturante vestibulaire métal

Technique : Autoligaturant vestibulaire
Précisions : Supraclusion (deep bite) – déviation des milieux – classe 2 subdivision (asymétrique)
Temps : 16 mois

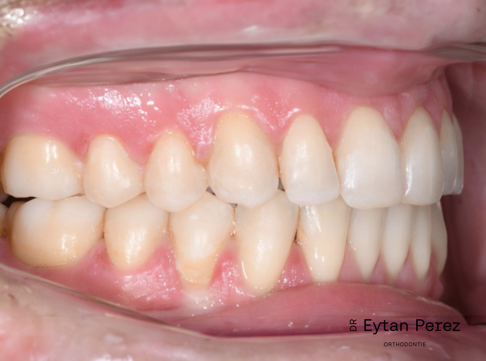
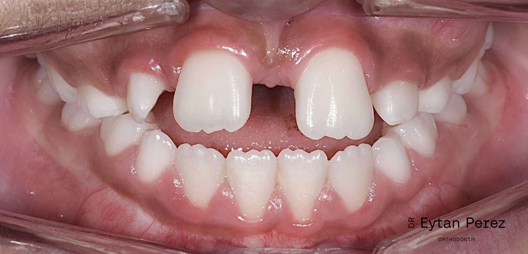
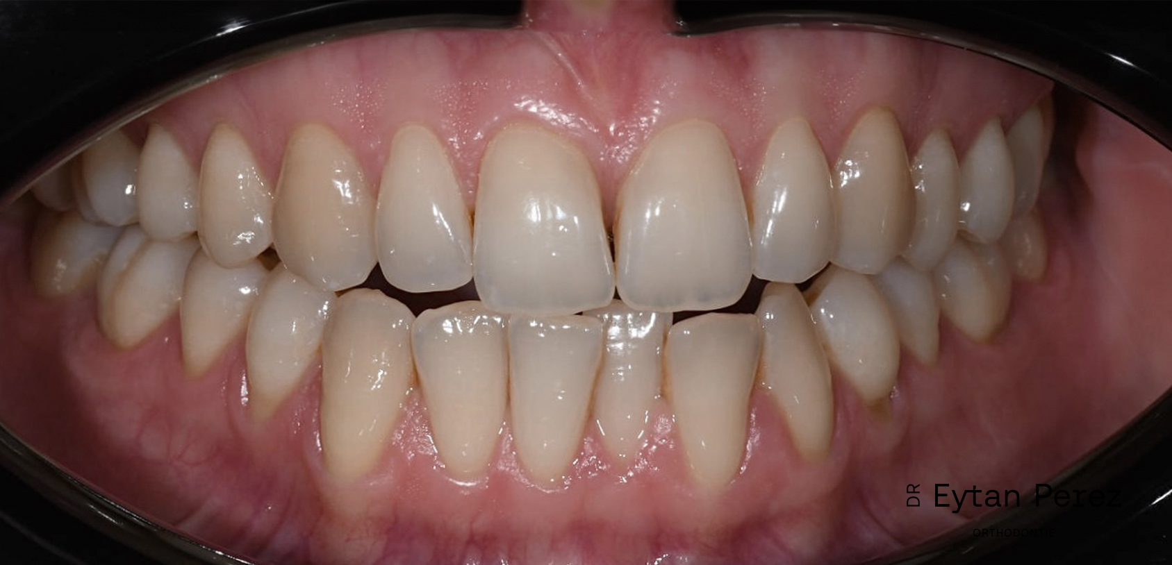
cas-4-face-avantcas-4-face-apres
Technique conventionnelle vestibulaire métal

Technique : Technique conventionnelle vestibulaire
Précisions : Agénésie des incisives latérales – supraclusion (deepbite) – classe 2 dentaire
Temps : 24 mois

cas-5-face-avantcas-5-face-apres
Orthopédie dento-faciale au moyen d’un disjoncteur associé à une grille anti langue

Technique : Technique Orthopédie dento-faciale
Précisions : Béance antérieure, endoalveolie maxillaire
Temps : 6 mois

cas-6-face-avantcas-6-face-apres
Traitement orthodontique pendant le pic de croissance chez la jeune fille pour corriger un décalage de classe II squelettique au moyen d’un appareillage autoligaturant vestibulaire métal

Technique : Autoligaturant vestibulaire
Précisions : Classe 2, Supraclusion, sans chirurgie car pic de croissance favorable
Temps : 18 mois

cas-7-face-avantcas-7-face-apres
Technique autoligaturante vestibulaire métal

Technique : Autoligaturant vestibulaire
Précisions : Encombrements sévères, classe 3 squelettique, extractions, sans chirurgie
Temps : 17 mois

cas-8-face-avantcas-8-face-apres
Technique autoligaturante vestibulaire mixte céramique

Technique : Autoligaturant vestibulaire
Précisions : Béance antérieure, interposition linguale entres les arcades, classe 2 dentaire subdivision
Temps : 14 mois

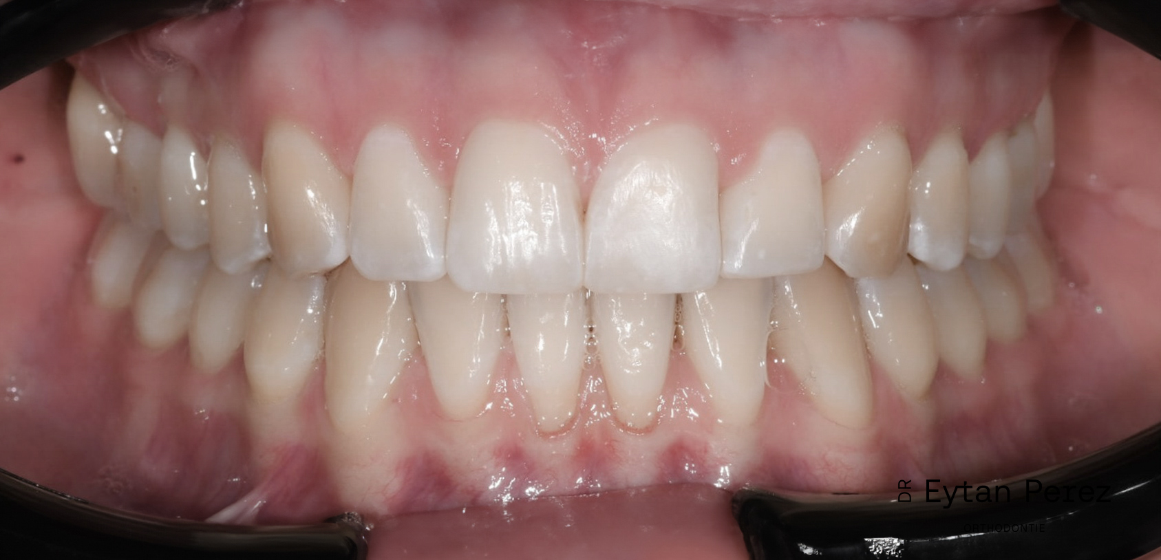
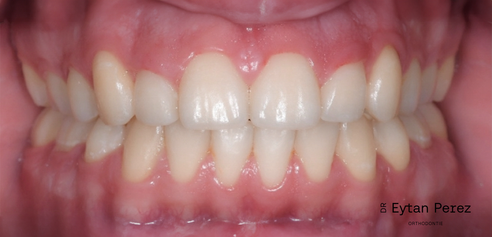
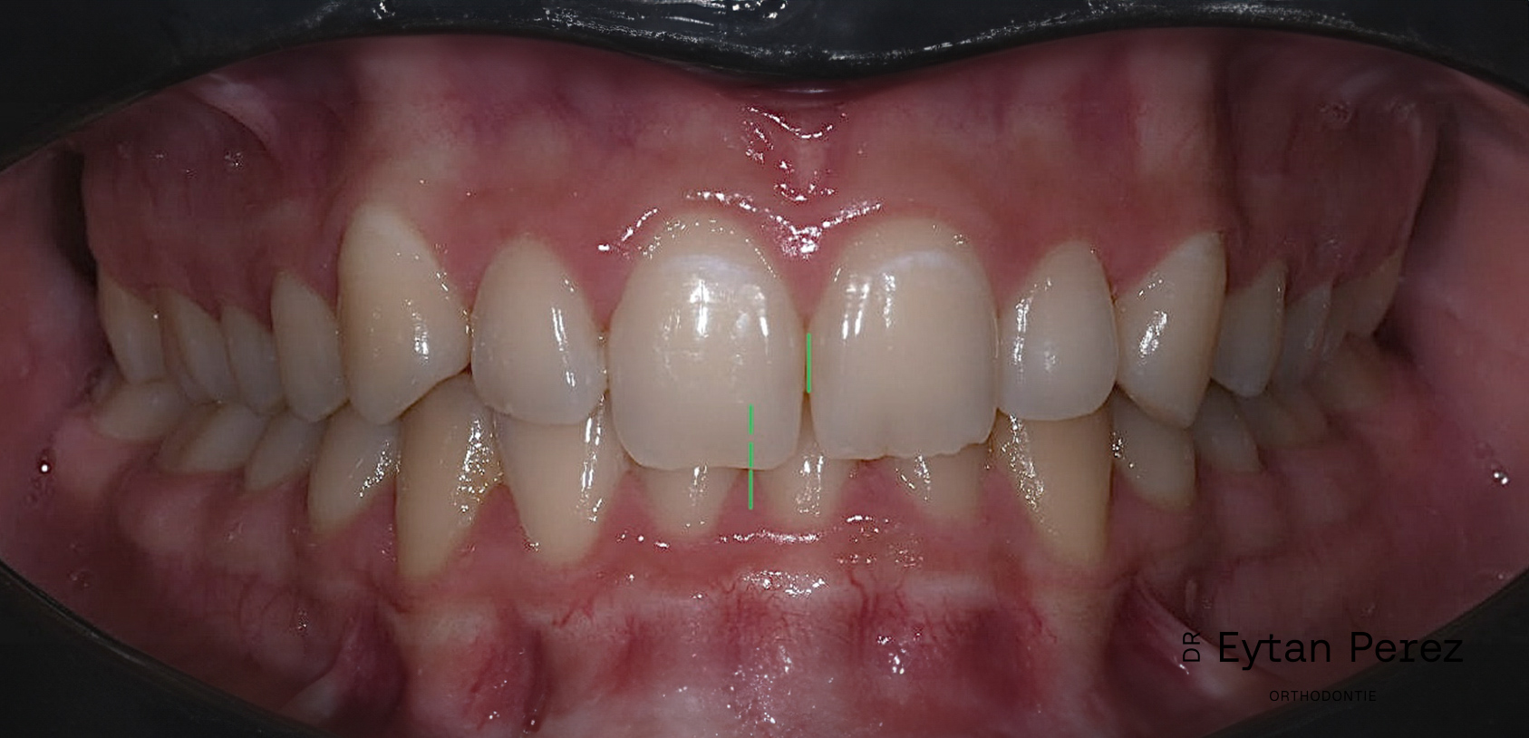
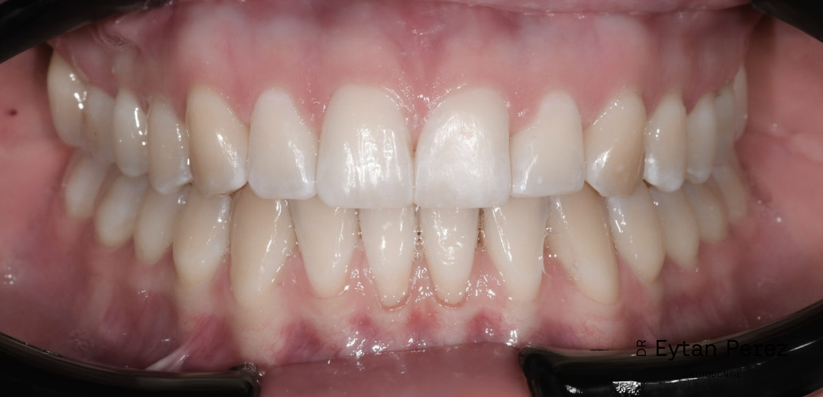
cas-9-face-avantcas-9-face-apres
Triangle noir

Technique : Gouttières de correction
Précisions : Triangle noir
Temps : 8 mois

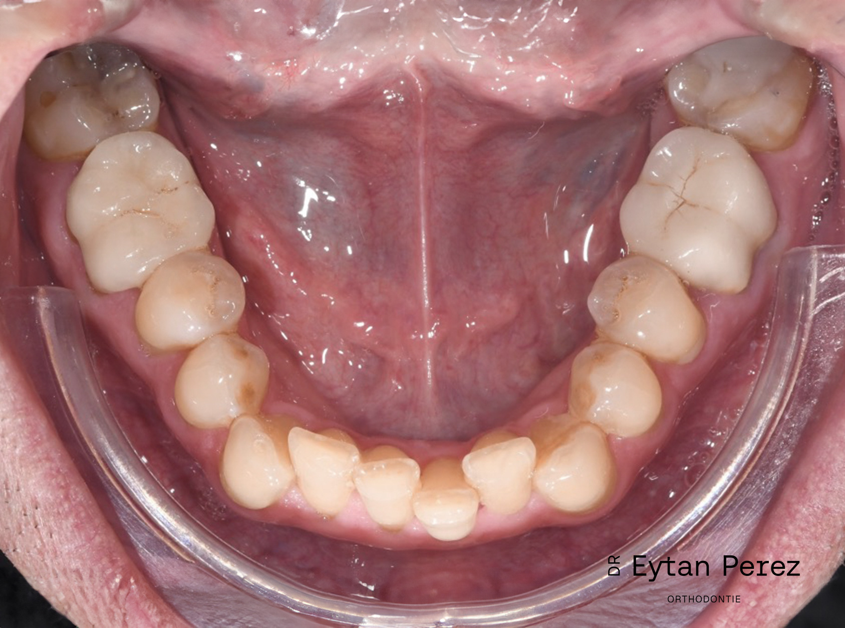
cas-10-face-avantcas-10-face-apres
Technique vestibulaire autoligaturante

Technique : Vestibulaire autoligaturante
Précisions : Endoalveolie maxillaire bilatérale – canines ectopiques
Temps : 12 mois

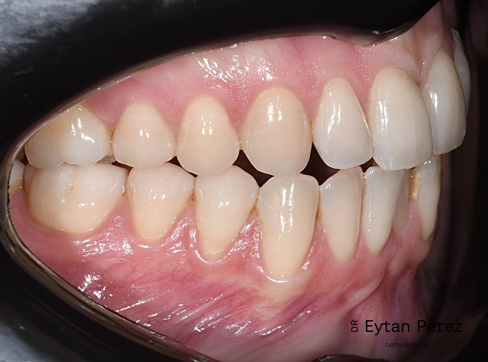
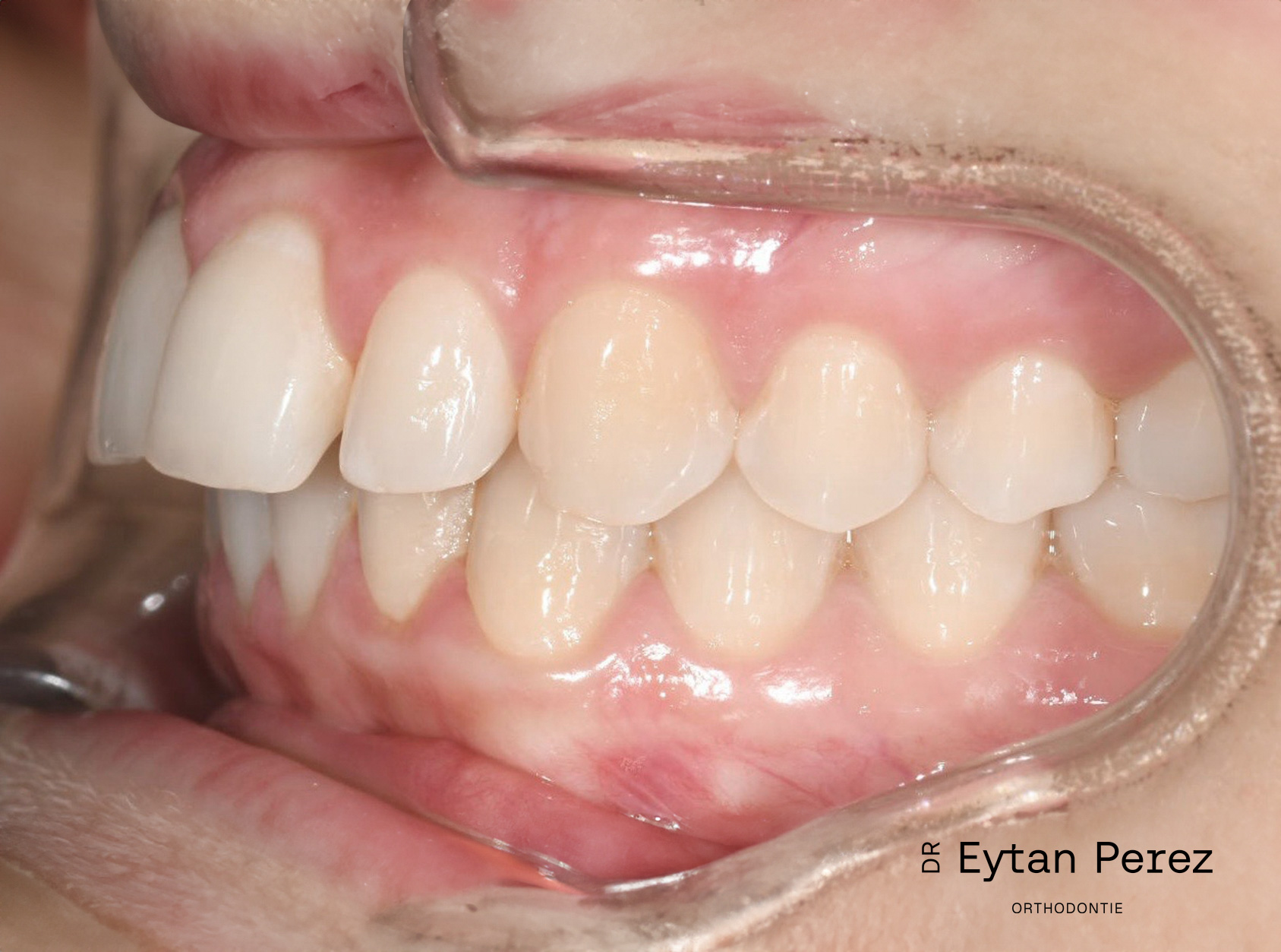
cas-11-c-gauche-avantcas-11-c-gauche-apres
Traitement orthodontique pendant le pic de croissance chez la jeune fille pour corriger un décalage de classe II squelettique au moyen d’un appareillage autoligaturant vestibulaire métal

Technique : Autoligaturant vestibulaire
Précisions : Supraclusion – sans chirurgie car pic de croissance favorable – classe 2 squelettique
Temps : 24 mois

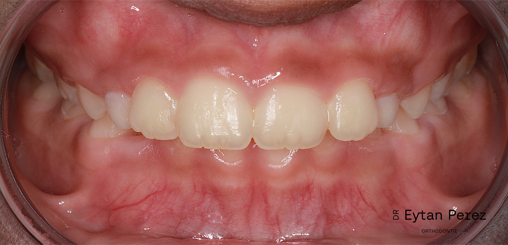
cas-12-haut-avantcas-12-haut-apres
Technique autoligaturante vestibulaire métal

Technique : Autoligaturant vestibulaire
Précisions : Endoalveolie maxillaire unilatérale (palais trop étroit) – dent en rotation
Temps : 11 mois

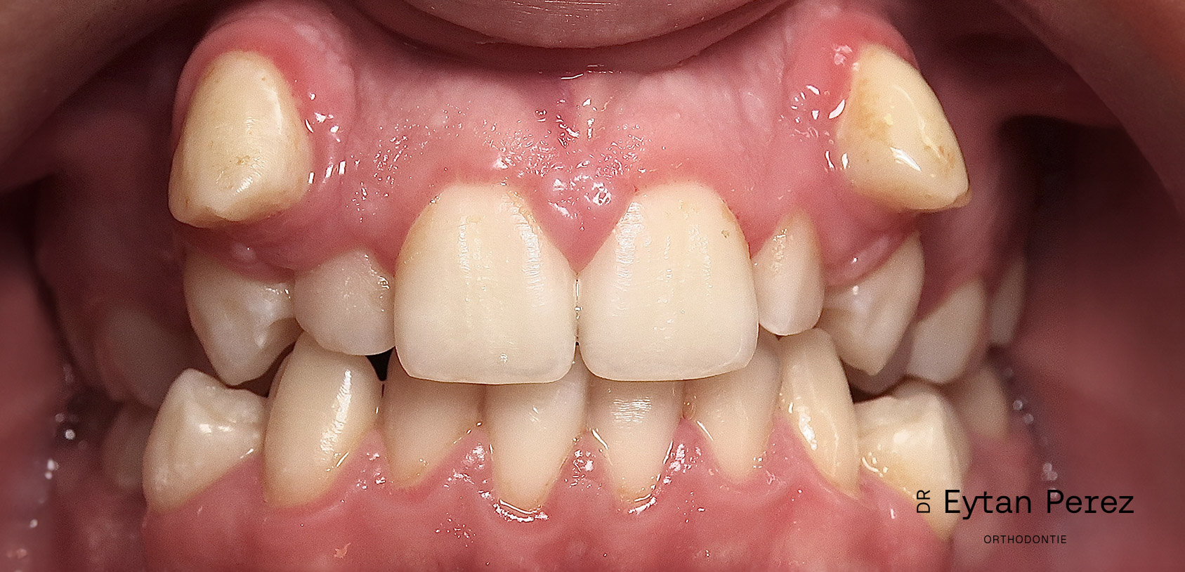
cas-13-c-gauche-avantcas-13-c-gauche-apres
Technique autoligaturante vestibulaire métal

Technique : Autoligaturant vestibulaire
Précisions : Encombrement severes – Biproalvéolie – classe 2 dentaire – sans extractions et sans chirurgie
Temps : 20 mois

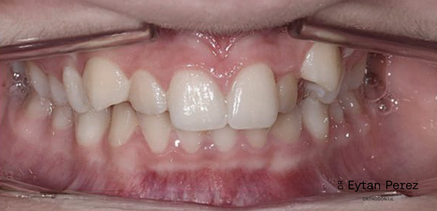
cas-14-haut-avantcas-14-haut-apres
Cas chirurgical en technique linguale

Technique : Technique linguale autoligaturante
Précisions : Chirurgie de classe 2 squelettique – technique linguale – encombrement
Temps : 14 mois

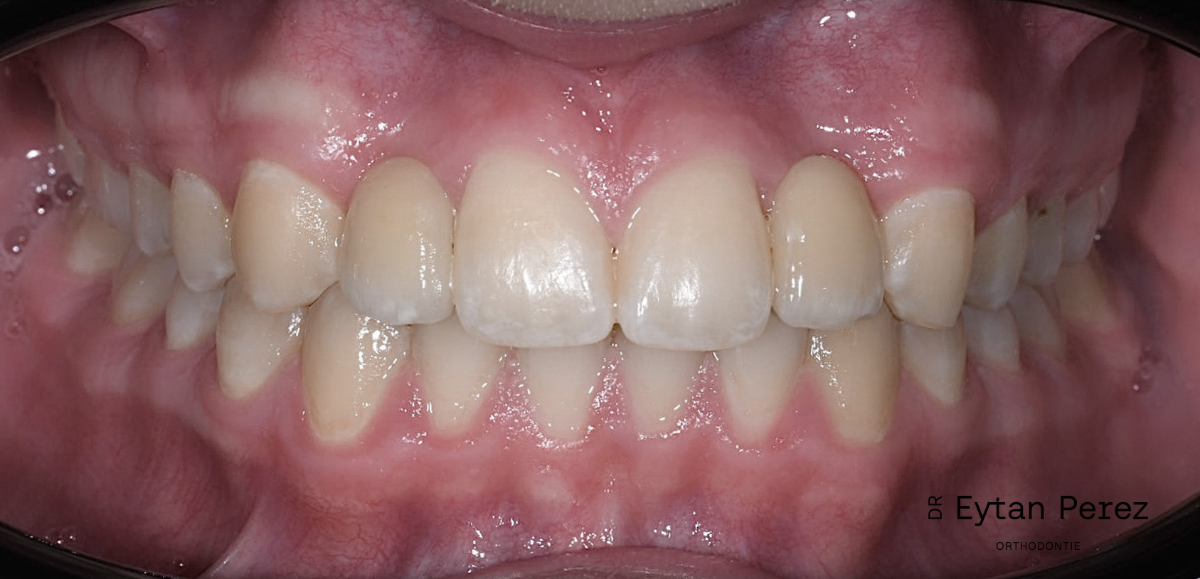
cas-15-c-droit-avantcas-15-c-droit-apres
Technique autoligaturante vestibulaire mixte céramique

Technique : Technique autoligaturante vestibulaire
Précisions : Béance antérieure – interposition linguale entres les arcades – classe 2 dentaire subdivision
Temps : 14 mois

cas-16-c-droit-avantcas-16-c-droit-apres
Orthopédie dento-faciale au moyen d’un disjoncteur associé à une grille anti langue

Technique : Technique Orthopédie dento-faciale
Précisions : Béance antérieure, endoalveolie maxillaire
Temps : 6 mois

cas-17-c-droit-avantcas-17-c-droit-apres
Orthopédie dento-faciale au moyen d’un disjoncteur associé à une grille anti langue

Technique : Technique Orthopédie dento-faciale
Précisions : Béance antérieure, endoalveolie maxillaire
Temps : 6 mois

cas-18-c-gauche-avantcas-18-c-gauche-apres
Technique par gouttière de correction vestibuloversion des incisives maxillaires

Technique : Gouttières de correction
Précisions : vestibuloversion des gencives maxillaire
Temps : 5 mois

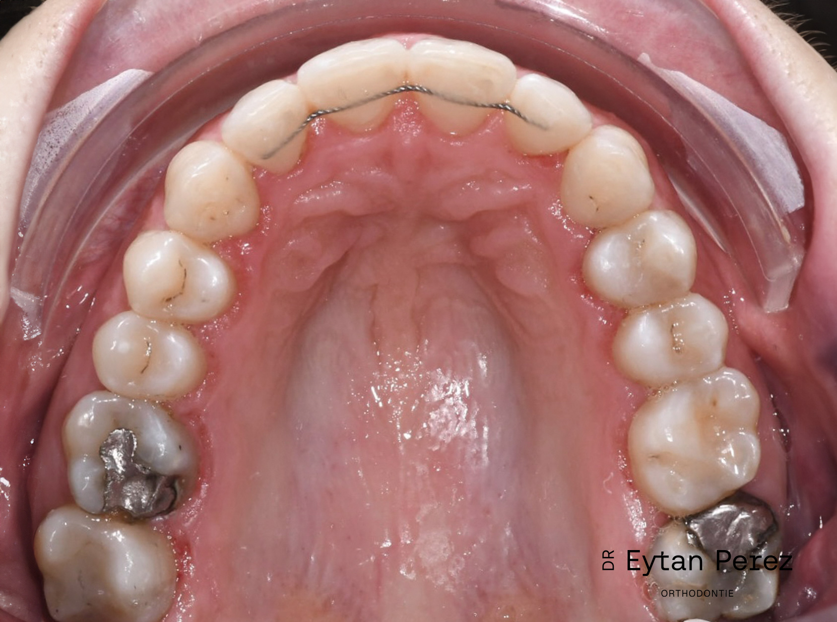
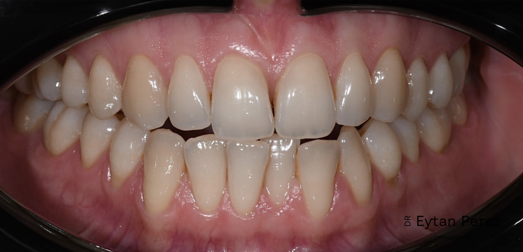
cas-19-haut-avantcas-19-haut-apres

Technique : Gouttières de correction
Précisions : Encombrements modérés à sévères des incisives mandibulaires
Temps : 10 mois

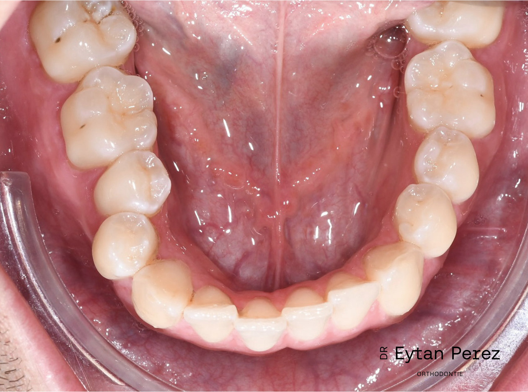
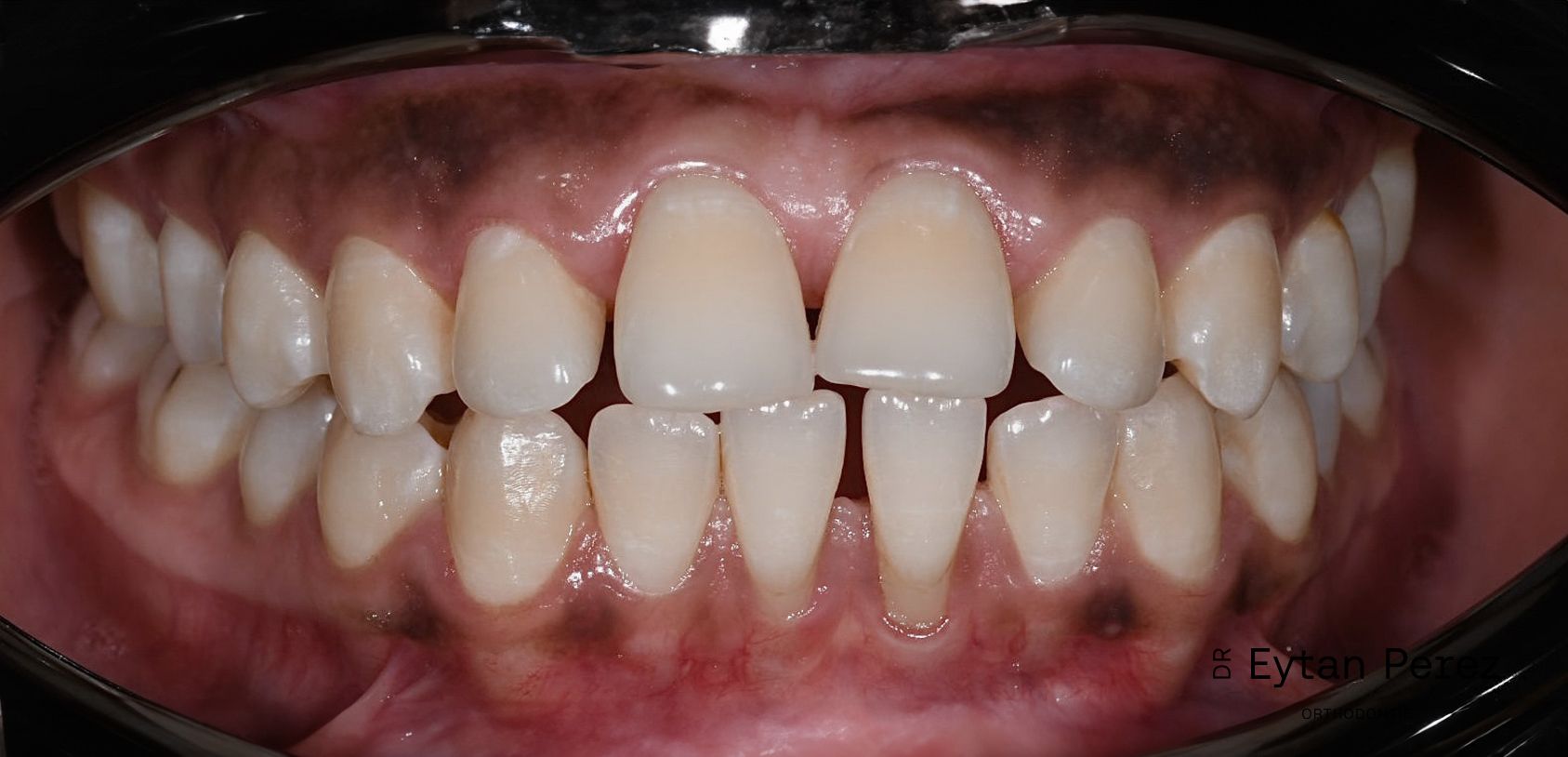
cas-20-haut-avantcas-20-haut-avant

Technique : Gouttières de correction
Précisions : Endoalvéolie mandibulaire
Temps : 10 mois

cas-21-c-gauche-avantcas-21-c-gauche-apres
Technique vestibulaire autoligaturante

Technique : Vestibulaire autoligaturante
Précisions : Endoalveolie maxillaire bilatérale – canines ectopiques
Temps : 12 mois